CO₂ Fractional Laser Enhances Penetration of 5‑Fluorouracil‑Loaded Ethosomes for Hypertrophic Scar Therapy
Abstract
Objective
We investigated whether CO₂ fractional laser can increase the skin penetration of ethosomes encapsulating 5‑fluorouracil (5‑FU) and assessed the therapeutic efficacy of this combination in a rabbit ear hypertrophic scar model.
Methods
Permeation and retention of 5‑FU were quantified by HPLC, while fluorescence distribution of Rho‑labeled ethosomes was visualised by CLSM. Samples were examined at 0, 6, 12, 24, 3 days and 7 days post‑laser irradiation. In vivo efficacy was evaluated by measuring scar thickness with a caliper and calculating the scar elevation index (SEI) from H&E‑stained sections.
Results
The CO₂ laser markedly increased 5‑FU penetration: after 1 h, 4.15 ± 2.22 µg mL⁻¹ cm⁻² versus 0.73 ± 0.33 µg mL⁻¹ cm⁻² in the laser‑free group (p < 0.05). After 24 h, cumulative permeation reached 107.61 ± 13.27 µg mL⁻¹ cm⁻² versus 20.73 ± 3.77 µg mL⁻¹ cm⁻² (p < 0.05). Retention was also higher (24.42 ± 4.37 µg cm⁻² vs. 12.25 ± 1.64 µg cm⁻²; p < 0.05). Fluorescence imaging confirmed deeper and stronger uptake in the laser‑treated group. In rabbits, after 7 days, the 5‑FU/ethosome + laser group showed significantly reduced scar thickness (relative thickness 1.27 ± 0.15) and SEI (1.16 ± 0.08) compared with ethosomes alone (relative thickness 1.52 ± 0.10; SEI 1.32 ± 0.13).
Conclusion
CO₂ fractional laser dramatically enhances transdermal delivery of 5‑FU‑loaded ethosomes and improves hypertrophic scar outcomes in vivo, offering a promising non‑invasive therapeutic strategy.
Background
Hypertrophic scars result from excessive collagen deposition and are common after surgery or trauma, affecting up to 60 % of surgical patients. Conventional treatments—pressure garments, steroids, radiation, and surgery—often fail to prevent recurrence and carry significant side‑effects.
Topical 5‑FU has anti‑fibroblast activity but limited skin penetration due to the dense scar matrix and an abnormally thick stratum corneum. Ethosomes, ethanol‑rich lipid vesicles, can fluidise the stratum corneum and have shown superior penetration in both healthy and scarred skin. However, even ethosomal 5‑FU concentrates mainly in the epidermis and superficial dermis.
CO₂ fractional laser ablates micro‑columns of skin, temporarily disrupting the barrier and creating micro‑channels that can serve as conduits for drug delivery. Prior studies have demonstrated that fractional lasers enhance percutaneous absorption of various agents.
Our aim was to combine CO₂ fractional laser with 5‑FU‑loaded ethosomes to achieve deeper, more uniform drug distribution in hypertrophic scars and to evaluate the clinical benefit in a rabbit ear model.
Methods
5‑FU Encapsulated Ethosomes
Ethosomes were prepared by the method of Touitou et al. (2000). Particle size and PDI were measured at 25 °C using laser diffraction (λ = 632.8 nm). TEM confirmed spherical vesicles < 100 nm. Encapsulation efficiency (EE) was determined by ultracentrifugation.
High‑Performance Liquid Chromatography
5‑FU concentrations in Franz‑cell receptor fluid were quantified on a Waters 2695 system with a 2487 UV detector and a Diamonsil C18 column (250 mm × 4.6 mm, 5 µm). Detection was at 265 nm, mobile phase methanol–H₂O (5:95 v/v), flow 1 mL min⁻¹.
Confocal Laser Scanning Microscopy
Rho‑labeled ethosomes were visualised in scar tissue sections (10 µm increments) using a Zeiss LSM 510 microscope (543 nm excitation, > 560 nm emission). Fluorescence intensity was quantified with ImageJ.
In‑vitro Penetration Study
Human hypertrophic scar biopsies (n = 3, female, 21–35 yr) were processed to 4 mm × 3 cm pieces, stored at –20 °C, then thawed and incubated in PBS (pH 7.4) for 2 h. Samples received CO₂ fractional laser (DeepFX, 25 mJ, 20 % coverage, 300 Hz, 10 µm spot) before application of 5‑FU ethosomes. Cumulative permeation was measured at 1–24 h by HPLC; retention was quantified after 24 h.
Rabbit Ear Hypertrophic Scar Model
Twelve New Zealand white rabbits (2 kg) were anesthetised (ketamine 1.5 mg kg⁻¹ IM). Circular wounds (1 cm) were created on the ear; the perichondrium was removed. After 28 days, mature hypertrophic scars (≈ 0.9 cm diameter) formed.
Micro‑channel Opening Rates
Post‑laser, Rho‑ethosomes were applied; after 3 h CLSM quantified open vs. closed micro‑channels (opening rate = open / total × 100 %).
Histology
Scars were harvested, fixed, and stained with H&E following standard protocols.
Scar Thickness and SEI
Thickness was measured with a caliper; relative thickness = A/B (A = thickest point, B = 1 cm from centre). SEI = area of new dermis / area of unwounded dermis. SEI > 1.5 denotes hypertrophy.
Statistics
Data are mean ± SD. Analyses were performed with SPSS 19.0; Student’s t‑test assessed significance (p < 0.05 considered significant).
Results
Ethosome Characterisation
TEM revealed uniform vesicles < 100 nm. Particle size measured by laser diffraction: 87.72 ± 9.27 nm (suspension) and 98.78 ± 10.88 nm (gel). PDI remained < 0.12 in both states, indicating homogeneity. EE was 10.47 ± 1.47 % for suspension and 11.56 ± 1.12 % for gel (no significant difference).

Transmission electron micrographs of ethosomes: solutions (a, b) and gel (c, d).
CO₂ Laser Enhances 5‑FU Permeation In‑Vitro
After 1 h, cumulative 5‑FU in the laser‑treated group reached 4.15 ± 2.22 µg mL⁻¹ cm⁻² versus 0.73 ± 0.33 µg mL⁻¹ cm⁻² (p < 0.001). At 24 h, 107.61 ± 13.27 µg mL⁻¹ cm⁻² vs. 20.73 ± 3.77 µg mL⁻¹ cm⁻² (p < 0.0001). Retention after 24 h was 24.42 ± 4.37 µg cm⁻² vs. 12.45 ± 1.64 µg cm⁻² (p < 0.01).

CO₂ laser promotes 5‑FU permeation through hypertrophic scar. a Cumulative permeation (n = 6). b Retention after 24 h (n = 6). *p < 0.001, ****p < 0.0001.
Fluorescence Distribution
Rho‑labelled ethosomes displayed broader and more intense fluorescence in laser‑treated scars at 1, 6, and 24 h (1 h: 59.61 ± 6.39 vs. 6.39 ± 1.64; 6 h: 163.32 ± 13.23 vs. 49.89 ± 4.01; 24 h: 270.36 ± 8.73 vs. 148.25 ± 16.89; all p < 0.0001).

Fluorescence intensity of Rho‑labelled ethosomes in scar tissue (n = 6). ****p < 0.0001.
In‑Vivo Penetration Dynamics
After CO₂ laser, Rho fluorescence was visible throughout the dermis at 3 h and 6 h. At 12 h, fluorescence began to diminish; by 24 h, 3 days, and 7 days, signals were confined to the surface crust, indicating micro‑channel closure. Opening rates were 100 % at 3 h and 6 h, dropping to 90.59 % at 12 h and 15.58 % at 24 h, and falling to 0 % at 3 days and 7 days.

Micro‑channel opening rates over time post‑laser.
Therapeutic Effect on Scar Thickness
Relative thickness decreased to 1.27 ± 0.15 in the 5‑FU/ethosome + laser group versus 1.52 ± 0.10 for ethosomes alone (p < 0.05) and 1.61 ± 0.15 for untreated (p < 0.0001). CO₂ laser alone (1.35 ± 0.09) was not significantly different from the combination, underscoring the dominant laser effect.

Relative thickness of rabbit ear scars (n = 14–16). *p < 0.001, ****p < 0.0001.
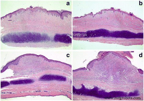
Histological Findings
H&E staining revealed reduced dermal thickness and more organized collagen bundles in the laser‑treated groups. SEI was significantly lower in the combination (1.16 ± 0.08) and laser‑only (1.22 ± 0.10) groups compared with ethosomes alone (1.32 ± 0.13) and control (1.49 ± 0.08).

Photographs of scars before and after treatment.

H&E histology (× 40).

SEI comparison (n = 14–16). ***p < 0.001, ****p < 0.0001.
Discussion
Our data confirm that CO₂ fractional laser creates temporary micro‑channels that markedly enhance the penetration and retention of 5‑FU‑loaded ethosomes in hypertrophic scar tissue. The laser’s thermal effect disrupts the stratum corneum and creates a gasification zone that serves as a high‑flux conduit for drug delivery.
Ethosomes, owing to their high ethanol content, increase membrane fluidity and deformability, enabling them to traverse the tight inter‑cellular gaps of scar dermis. The combination of a physical opening (laser) and a chemical enhancer (ethosomes) achieves a synergistic effect, but our results suggest the laser alone accounts for the majority of the therapeutic benefit, likely due to both barrier disruption and stimulation of collagen remodeling.
Micro‑channel opening persisted for up to 24 h, after which rapid re‑epithelialization closed the pathways, limiting drug uptake. This underscores the importance of timing drug application within the first 24 h post‑laser.
Ethosomes have an excellent safety profile; literature reports no systemic or local toxicity in vitro or in vivo. Their use is therefore well‑suited for chronic scar management.
Limitations include the small human biopsy sample and the rabbit ear model’s anatomical differences from human facial skin. Future studies should evaluate long‑term outcomes and translate dosing protocols to clinical trials.
Conclusion
CO₂ fractional laser dramatically improves the transdermal delivery of 5‑fluorouracil‑loaded ethosomes and yields significant reductions in scar thickness and elevation index in a rabbit hypertrophic scar model. The therapeutic window for enhanced penetration is within 24 h post‑laser, making this combination a promising, minimally invasive strategy for human hypertrophic scar treatment.
Nanomaterials
- CO2 Laser Cutters: 10 Inspiring Projects for Craft and Business
- Fibre Laser vs CO₂ Laser: Choosing the Right Cutting Technology for Your Business
- CNC Routers vs CO2 Laser Machines: Choosing the Right Tool for Your Production
- Influence of Impact Angle on Nanometric Abrasive Cutting of Single‑Crystal Copper: A Molecular Dynamics Study
- High‑Power Tapered Quantum Cascade Laser Arrays with Talbot Cavity Integration
- Comparative Analysis of Negative‑Capacitance FETs Across MOS Capacitances
- Stretchable, Fluorine‑Free Superhydrophobic Silicone Surfaces Fabricated by Femtosecond Laser Texturing
- Double‑Heterojunction AlGaN/GaN Schottky Barrier Diode on Si: A Combined Theoretical and Experimental Analysis
- Precision Laser Cutting Powered by Fanuc Robotics
- Precision Laser Cutting with Motoman Robots for Automotive Manufacturing