Targeting miR‑410/Wnt‑11 Regulates Bone Formation and Inhibits Osteoclasts to Treat Femoral Head Osteonecrosis
Abstract
Background
Little is known regarding the functional role of microRNA-410 (miR-410) in osteonecrosis of the femoral head (ONFH); hence, the aim of the present study was to investigate miR-410 targeting Wnt-11 to modulate the osteogenic and osteoclastic mechanism in the prevention of ONFH.
Methods
Fifteen ONFH samples and 15 normal samples were gathered. The pathological changes of the femoral head, osteoblasts, and osteoclasts in the clinical samples were observed. The rat model of ONFH was injected with agomir-miR-410, Wnt-11-siRNA, or oe-Wnt-11. MiR-410; Wnt-11; osteoblast-related factors alkaline phosphatase (ALP), bone gamma-carboxyglutamate protein (BGLAP), and Collα1 expression; and osteoclast-related factors acid phosphatase 5 (ACP5), cathepsin K (CTSK), and MMP9, as well as Bcl-2 and Bax expression, were tested by RT-qPCR and western blot analysis. The osteogenic function index ALP and OCN together with osteoclast function index NTX-1 and CTX-1 in serum was tested by ELISA.
Results
MiR-410, ALP, BGLAP, and Collα1 degraded as well as Wnt-11, ACP5, CTSK, and MMP9 enhanced in ONFH tissues of the clinical samples. Upregulated miR-410 and downregulated Wnt-11 enhanced bone mineral density (BMD) and BV/TV of rats, heightened the BMD level of the femoral shaft, femoral head, and spinal column, and also raised the serum calcium and phosphorus levels of rats, while restrained apoptosis of osteocytes, elevated OCN, ALP, BGLAP, and Collα1 expression and declined ACP5, CTSK, NTX-1, CTX-1, and MMP9 expression in rats.
Conclusion
This study suggested that upregulating miR-410 or downregulating Wnt-11 increases osteoblasts and reduces osteoclasts to alleviate the occurrence of ONFH. Thus, miR-410 may serve as a potential target for the treatment of ONFH.
Introduction
Osteonecrosis of the femoral head (ONFH), as one of the most familiar diseases affecting the hip joints, leads to severe pain or joint disability and mainly occurs in middle-aged individuals [1]. The therapy of adult ONFH, which has 8.12 million patients in China, is still a challenge for surgeons [2]. Many risk factors are associated with the occurrence of ONFH, such as hyperlipidemia, autoimmune diseases, clotting disturbances alcoholism, and hypercortisonism [3]. Surgical treatment contains core decompression with or without adjuvant, for instance, autologous bone marrow, while total hip replacement (THR) retains for senile patient or advanced osteonecrosis that is not treated by joint retention [4]. However, ONFH has an unsatisfying prognosis in those patients frequently requiring THR [5]. Hence, there is an urgent need to explore an accurate therapeutic target for the treatment of ONFH.
MicroRNAs (miRNAs) are major regulators of cell function and gene expression, which exerts an enormous function on endothelial homeostasis and may be a new treatment [6]. A study has reported that miR-410 has been found to be abnormally expressed in several human pernicious cancer types and can be used as a tumor inhibitor in endometrial, lung cancer, myeloma, and breast cancer [7,8,9,10]. Another study revealed that there is a neuroprotective effect of miR-410 on Parkinson’s disease cell model induced by 6-hydroxydopamine by suppressing PTEN/AKT/mTOR signaling pathway [11]. Moreover, miR-410 has been revealed to modulate malignant biological behaviors of children with acute lymphoblastic leukemia via targeting FKBP5 and AKT signaling pathways [12]. An article also has demonstrated the inhibitory effect of miR-410 targeting angiotensin II type 1 in pancreatic cancer [13]. Wnt protein is a kind of cysteine-rich secreted lipoglycoproteins, which exerts an enormous function on the development and disease [14]. Wnt-11 belongs to Wnt signaling pathway and is a positive regulator that serves pivotal roles in carcinogenesis [15]. There is a study reported the clinical significance of the expression of squamous cell carcinoma antigen and Wnt11 in cervical carcinoma [16]. Moreover, it was presented that TGF-β1 and Wnt11 synergic signals drive the expression of sm-α-actin in the smooth muscle by Rho kinase-actin-MRTF-A signaling [17]. Based on the above literature, the aim of the present study was to investigate the role of miR-410 regulating Wnt-11 on the prevention of ONFH, and a hypothesis is proposed that miR-410 targeting Wnt-11 could modulate the osteogenic and osteoclastic mechanism in the prevention of ONFH.
Materials and Methods
Ethics Statement
The study was conducted under the approval of the Institutional Review Board of Beijing Shijitan Hospital, Capital Medical University, and followed the tenets of the Declaration of Helsinki. Participants provided written informed consent to participate in this study. All animal experiments were consistent with the Guide for the Care and Use of Laboratory Animal of the National Institutes of Health. The protocol was permitted by the Committee on the Ethics of Animal Experiments of Beijing Shijitan Hospital, Capital Medical University.
Study Subjects
A total of 30 patients who are treated in the orthopedic department of Beijing Shijitan Hospital, Capital Medical University, from January 2017 to September 2018 were selected. Among these patients, 15 patients with ONFH were treated in THR surgery, the median age of patients was 50.6 ± 4.3 years, and the body mass was 57.0 ± 5.6 kg with 7 males and 8 females (ONFH group). Another 15 patients with femur neck fracture were treated with THR surgery, the median age was 59.6 ± 3.3 years, and the body mass was 50.0 ± 5.6 kg with 9 males and 6 females (control group). There was no marked difference in gender, age, and weight between the two groups (P > 0.05) which was comparable. The tissues in the subchondral necrotic area were taken by chiseling along the longitudinal line of the femoral head and stored at − 80 °C. Each group was examined by pathology and molecular biology, respectively.
Hematoxylin-Eosin (HE) Staining
The samples were fastened with 4% paraformaldehyde and decalcified by 10% ethylene diamine tetraacetic acid, and the decalcification solution was replaced once a week. The color of the bone sample was observed and the decalcification degree was measured. After complete decalcification, the sample was embedded in paraffin and sliced at a thickness of 4 μm. The baked sections were immersed into xylene I and xylene II for 10 min in turn, and the dewaxed sections were immersed in absolute alcohol I, absolute alcohol II, 95% alcohol, 80% alcohol, and 70% alcohol for 2 min, respectively. Then the sections were dyed with hematoxylin for 3 min and differentiated by 1% hydrochloric acid alcohol for 2 min. Next, the sections were soaked in 50%, 70%, and 80% alcohol for 2 min in turn and immersed in eosin for 5 s. Next, the sections were immersed in 95% alcohol, absolute alcohol I, and absolute alcohol II for 3 min and then immersed in xylene I and xylene II for 5 min in turn. Finally, the sections were sealed with neutral gum and examined by a microscope.
Alkaline Phosphatase (ALP) Staining
One section was selected in each sample and baked at 60 °C for 60 min. The paraffin sections were dewaxed by xylene I and xylene II for 15 min, respectively, and dipped into absolute alcohol I, absolute alcohol II, 95% ethanol, 90% ethanol, 80% ethanol, and 75% ethanol for 5 min in turn, and cleaned with three-distilled water 2 min for three times. The sections were dropped with some substrate liquid prepared in ALP dyeing kit (NanJing JianCheng Bioengineering Institute, Nanjing, China), making the substrate liquid completely cover on the sample, then hatched at 37 °C avoiding light for 15 min. The redundant dye solution was discarded, and the sections were immediately dropped with chromogenic agent A for 5 min and cleaned with three-distilled water for 30 s. Then sections were dyed with chromogenic agent B for 30 s and counterstained with reagent for 30 s. The photograph was obtained under a 200 × optical microscope, and the number of osteoblasts was reckoned via image analysis system for microscope (Image-Proplus 6.0).
Tartrate Resistant Acid Phosphatase (TRAP) Staining
One section was selected for each sample and roasted at 60 °C for 60 min. The paraffin sections were dewaxed by xylene I and xylene II for 15 min, and dipped into absolute alcohol I, absolute alcohol II, 95% ethanol, 90% ethanol, 80% ethanol, and 75% ethanol for 5 min in turn. The sections were fixed with some prepared fixative solution for 30 s. The sections were inserted into the dyeing rack and placed in a dark box containing freshly prepared TRAP staining solution (Sigma, St. Louis, MO, USA), the staining solution should be completely covered with the sections, and then the sections were hatched in 37 °C water bath pot for 1 h. Next, the sections were counterstained with hematoxylin for 2 min and dried. Because TRAP staining would decay with time, the sections would be directly examined by the microscope without sealing. The picture was attained under a 200 × optical microscope, and the number of osteoclasts was counted by image analysis system for microscope (Image-Proplus 6.0).
Immunohistochemical Staining
After decalcification, the sections were embedded in paraffin wax and sliced at a thickness of 4 μm. The sections were dewaxed by conventional xylene, dehydrated with gradient alcohol, hatched with 3% H2O2 (Sigma-Aldrich Chemical Company, St Louis, MO, USA) at 7 °C for 30 min, and then boiled with 0.01 M citric acid buffer at 95 °C for 20 min. The sections were blocked with normal sheep serum working fluid for 10 min, mixed with primary antibody Wnt-11 (1:100, Invitrogen, Carlsbad, California, USA) at 4 °C overnight, secondary antibody (ready-to-use secondary antibody kit (PV-6000), ZSGB-Bio, Beijing, China) for 20 min, and horseradish peroxidase-labeled streptomyces ovalbumin working fluid (S-A/HRP, Beijing ComWin Biotech Co. Ltd, Beijing, China) for 2 min. The sections were developed by diaminobenzidine (DAB) (Sigma-Aldrich Chemical Company, St Louis, MO, USA), counterstained with hematoxylin (Shanghai Bogoo Biological Technology Co., Ltd., Shanghai, China), and then sealed. Phosphate-buffered saline (PBS) replaced the primary antibody as a negative control (NC). Under the light microscope, the positive cells were located with brown reactants in the cytoplasm, the strong positive expression was dark brownish yellow, the weak positive expression was light brownish yellow, and the negative expression has no coloring. The staining of the cells was observed under the light microscope, five high-power fields (400 ×) were observed for each section, and 100 cells were counted in per field. The average value was the observation result of each section. In accordance with the proportion and distribution of positive cells, it was determined as follows: negative (−), single-cell staining, the positive cells less than 5%; weakly positive (+), scattered or small cell mass staining, the number of positive cells was 5–24%; positive (++), flake or cluster cell staining, the number of positive cells was 25–50%; and strongly positive (+++), diffused cell staining, the number of positive cells was more than 50%. The results of immunohistochemistry were evaluated with double-blind score by two persons independently.
Reverse Transcription Quantitative Polymerase Chain Reaction (RT-qPCR)
The total RNA was abstracted from tissue samples by Trizol extraction kit (Invitrogen, Carlsbad, California, USA). The concentration and purity of RNA were determined. Primers were devised and compounded by Takara Bio Inc. (Otsu, Shiga, Japan) (Additional file 1: Table S1). Then RNA was reverse-transcribed into cDNA using PrimeScript RT kit (Takara Biotechnology Ltd., Dalian, China). The reaction solution was utilized for fluorescence quantitative PCR, with reference to the instructions of SYBR® Premix Ex TaqTM II kit (Takara Biotechnology Ltd., Dalian, China). The fluorescence quantitative PCR was implemented in ABI PRISM® 7300 system (Applied Biosystems, Massachusetts, USA). U6 was the loading control of miR-410, and glyceraldehyde phosphate dehydrogenase (GAPDH) was the internal parameters of Wnt-11, ALP, bone gamma-carboxyglutamate protein (BGLAP), Collα1, tartrate-resistant acid phosphatase 5 (ACP5), cathepsin K (CTSK), matrix metallopeptidase (MMP)9, Bcl-2, and Bax. The relative transcriptional levels of target genes were reckoned by 2−△△Ct method [18].
Western Blot Analysis
The total protein was abstracted from the tissues of the femoral head. The protein concentration of each sample was measured and the sample loading was adjusted by the deionized water to ensure the size was consistent. Sodium dodecyl sulfate separation gel and spacer gel (10%) were prepared. After ice bathing and centrifugation, the sample was separated by electrophoresis with the same amount of microsampler, and then the protein on the gel was transferred to the nitrocellulose membrane. The nitrocellulose membrane was sealed with 5% skimmed milk powder at 4 °C overnight and mixed with primary antibody Wnt-11 (1:150, Santa Cruz Biotechnology, Santa Cruz, CA, USA), ALP (1:100, Sigma, St. Louis, MO, USA), BGLAP, Collα1 and MMP9 (1:1000), ACP5 (1:100), CTSK (1:500, Abcam, Cambridge, MA, USA), and Bcl-2 and Bax (1:500, Proteintech, Chicago, USA) and hatched overnight. And the sample was dropped with secondary antibody IgG (1:1000, Wuhan Boster Biological Technology Co., Ltd., Hubei, China) labeled by HRP and incubated for 1 h. The membrane was immersed in an enhanced chemiluminescence reaction solution (Pierce, Rockford, IL, USA) for 1 min. After removing the liquid, the sample was covered by the food preservation film. After developed and fixed, the result was observed. GAPDH was the internal parameter, and the protein imprint image was analyzed by the ImageJ2x software.
Establishment of Rat Models of ONFH
Ninety male Sprague-Dawley (SD) rats (Shanghai SLAC Laboratory Animal Co., Ltd., Shanghai, China), weighing between 300 g and 350 g, were selected. The environment was set at 18–25 °C and the humidity was 45–70%. Rats were raised in separate cages avoiding noise. After 1 week of adaptive feeding, follow-up experiments were carried out.
The model was established by traumatic ONFH. The methods of modeling were as follows: SD rats were anesthetized with abdominal cavity, followed by hair removal and skin preparation. The rat skin was cut, the tissues were separated, and the round ligament was cut off after exposure of the femoral head. Periosteum of the femoral neck of rats was scraped off, and the blood supply around the femoral head was destroyed. The joint capsule, muscle, and skin were sutured layer by layer and sterilized again.
Animal Grouping
Seventy successful modeled SD rats were distributed into seven groups, with 10 rats in each group: ONFH group; agomir-NC group (0.5 mL of miR-410 agonist NC (200 nM, Guangzhou RiboBio Co., Ltd., Guangdong, China) was injected around the hip joint 1 week after successful establishment of ONFH), agomir-miR-410 group (0.5 mL of miR-410 agonist (200 nM, Guangzhou RiboBio Co., Ltd., Guangdong, China) was injected around the hip joint 1 week after successful establishment of ONFH), siRNA-NC group (NC of 0.4 mL silenced Wnt-11 vector (containing 1 × 109 plaque-forming unit (PFU) (Shanghai GenePharma Co. Ltd., Shanghai, China) was injected around the hip joint 1 week after successful establishment of ONFH), Wnt-11-siRNA group (0.4 mL silenced Wnt-11 vector (containing 1 × 109 PFU) (Shanghai GenePharma Co. Ltd., Shanghai, China) was injected around the hip joint 1 week after successful establishment of ONFH), agomir-miR-410 + overexpressed (OE)-NC group (0.5 mL of miR-410 agonist and NC of 0.4 mL upregulated Wnt-11 vector (containing 1 × 109 PFU) (Shanghai GenePharma Co. Ltd., Shanghai, China) was injected around the hip joint 1 week after successful establishment of ONFH), and agomir-miR-410 + OE-Wnt-11 group (0.5 mL of miR-410 agonist and 0.4 mL upregulated Wnt-11 vector (containing 1 × 109 PFU) (Shanghai GenePharma Co. Ltd., Shanghai, China) was injected around the hip joint 1 week after successful establishment of ONFH). Meanwhile, the normal group (only saline was injected into the abdominal cavity, 10 rats) was set as a control. After 4 weeks of ONFH, micro-CT, osteonometrics analysis, X-ray observation, bone densitometry, and serum calcium and phosphorus level determination were carried out.
Micro-CT Test and Osteonometrics Analysis
The right femoral head of rats was placed on the micro-CT machine (General Electric (GE) Company, Massachusetts, USA), and the randomly equipped standard phantom was also scanned. The scanning parameters are as follows: resolution 27 μm × 27 μm × 27 μm, scanning current 450 mA, scanning voltage 80 kV, and single scanning time 88 min. The microstructure of the rat’s femoral head was observed in detail. After calibration in the light of the specification, three cuboid regions of interest (ROI) were randomly selected from different groups of rats for reconstruction (0.5 × 0.5 × 0.5 cm3). The image processing was carried out with the machine software GE Microview, and the ROI was reconstructed and analyzed by bone metrology. The parameters of bone mineral density (BMD) and bone volume fraction (BV/TV) were selected.
X-ray Observation, BMD Determination, and Serum Calcium and Phosphorus Level Determination
Four weeks after the operation, the rats in each group were injected via the abdomen with 10% chloral hydrate. After anesthesia, the rats were placed in supine position, and the limbs were fixed and then examined by X-ray photography. The change of the femoral head shape and density was observed. The bone density of the left femoral backbone, femoral head, and spine was tested by a dual-energy X-ray bone density measuring instrument. At 4 weeks after the operation, the rats in each group were fasted for 12 h before blood collection. The blood samples (5 mL) were collected through the heart in the morning and placed into a vacuum clean coagulation tube. The serum was separated by 3000 r/min centrifugation for 15 min. The serum calcium and phosphorus levels were measured by an automatic biochemical analyzer.
Electron Microscopic Observation
The rat bone tissue mass was fastened with 3.5% glutaraldehyde, decalcified with 5% hydrochloric acid solution and 1% osmic acid, then dehydrated with gradient acetone, double-dyed with uranium acetate and citric acid, and lastly, embedded with Epon-61. After the semi-thin section was prepared, the ultra-thin section was observed by a transmission electron microscope.
TdT-Mediated dUTP-Biotin Nick End-Labeling (TUNEL) Assay
The paraffin-embedded sections were pre-treated with conventional dewaxing and dehydration. The sections were hatched with pepsin (0.25~0.5% hydrochloric acid solution) for 25 min, then dripped with 50 μL TUNEL reaction mixed solution and hatched in a wet box for 60 min, and dropped with 50 μL agent-peroxidase and hatched in a wet box for 30 min. The sections were developed with DAB reagent, whether the sections were colored and were observed under the microscope. The sections were added with water to stop developing and stained with hematoxylin for 2 min. Then the sections were dipped in 95% ethanol I–II, absolute ethanol I–II for 3–5 min, respectively, xylene I–II for 3–5 min and sealed with neutral gum. The results were analyzed under the light microscope.
Enzyme-Linked Immunosorbent Assay (ELISA)
After the rats were anesthetized, the blood of the thigh artery was taken and the serum samples were gathered by centrifugation after 1-h resting. On the basis of the specification of ELISA kit (Shanghai enzyme-linked Biotechnology Co., Ltd., Shanghai, China), seven standard wells were added with various concentration standards (100 μL) in turn, the blank wells were appended with 100 μL standard dilution solution, and the remaining wells were appended with 100 μL sample to be tested. The enzyme plate was coated with film and placed for 1 h, and then the liquid was discarded. A solution (100 μL) was appended to all the wells, and the enzyme plate was covered with the film for 1 h. After washing, 100 μL B solution was added into all wells, and the enzyme plate was covered with the film for 30 min. Then tetramethylbenzidine substrate solution (90 μL) was added, the enzyme plate was covered with the film for 10–20 min and 50 μL terminating solution was appended to all wells. The optical density (OD) value of each well was measured by a microplate reader, and the actual concentration of the sample was enumerated.
Dual Luciferase Reporter Gene Assay
The binding sites and target relationship of miR-410 and Wnt-11 3′ untranslated region (UTR) were forecasted using bioinformatics software http://www.targetscan.org. The Wnt-11 3′UTR promoter region sequence containing the miR-410 binding site was composed and inserted into pMIR-REPORTTM Luciferase vector plasmid (Ambion, Company, Austin, TX, USA) for formulating the Wnt-11 3′UTR wild-type plasmid (Wnt-11-WT). And the Wnt-11 3′UTR mutant plasmid (Wnt-11-MUT) was constructed on the basis of the plasmid and the mutation binding site. Follow the steps of the purchased plasmid extraction kit (Promega, Madison, Wisconsin, USA), and the logarithmic cells were seeded into the 96-well plates. When the cell confluence was about 70%, Lipofectamine 2000 was adopted for transfection. Wnt-11-WT and Wnt-11-MUT were mingled with mimics NC and miR-410 mimics (Shanghai GenePharma Co. Ltd., Shanghai, China), respectively, and then co-transfected to 293 T cells. The cells were amassed and lysed after transfected 48 h, and luciferase activity was tested by luciferase detection kit (BioVision, San Francisco, CA, USA) and Glomax 20/20 luminometer (Promega, Madison, Wisconsin, USA).
Statistical Analysis
All data were processed by SPSS 21.0 software (IBM Corp. Armonk, NY, USA). The measurement data were conveyed by mean ± standard deviation. One-way analysis of variance (ANOVA) was conducted for multiple-group comparisons and the t test for two-group comparisons and Fisher’s least significant difference t test (LSD-t) was utilized after ANOVA. P value < 0.05 was indicative of a statistically significant difference.
Results
Pathological Changes in ONFH Tissues of Clinical Samples
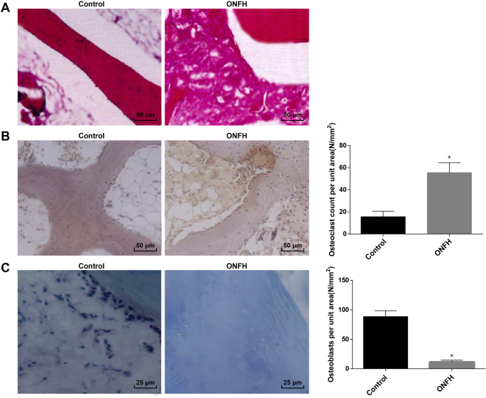
HE staining was adopted to observe the pathological changes of the femoral head in the femur neck fracture group (control group) and the ONFH group; the results reported that in the control group, bone trabecular density was well-distributed, and structure was integrity. While in the ONFH group, there were many empty bone lacunae in bone cerebellum, with bone cells decreased, and bone trabeculae continuously changed. In addition, there were many other tissue hyperplasia around the bone cerebellum (Fig. 1a).

Pathological changes in ONFH tissues of clinical samples. a Results of HE staining in each group (200 ×). b Results of TRAP staining and the count of TRAP-positive cells in each group (200 ×). c Results of ALP staining and ALP positive cells count in each group (400 ×). *P < 0.05 vs. the control group
TRAP staining revealed that TRAP was mainly found in osteoclasts and often used to identify mature osteoclasts in amaranth. Compared to the control group, the number of TRAP-positive osteoclasts in the ONFH group ascended, the morphology of osteoclasts was diverse, and the cells were large with multinuclear appearance. Obvious bone defects were observed in the bone cerebellum adjacent to osteoclasts, which showed bone resorption (Fig. 1b).
The result of ALP staining presented that ALP was a marker enzyme for osteoblast differentiation and maturation, which was participated in the regulation of bone matrix maturation calcification. Therefore, ALP expression was commonly used to identify osteoblasts. Brown or coffee particles could be seen in the cytoplasm of mature osteoblasts. In relation to the control group, the number of ALP positive osteoblasts reduced in the ONFH group (Fig. 1c).
MiR-410, ALP, BGLAP, and Collα1 Degraded and Wnt-11, ACP5, CTSK, and MMP9 Enhanced in ONFH Tissues of the Clinical Samples
Western blot analysis and RT-qPCR demonstrated that miR-410 expression in the ONFH group abated relative to that in the control group, while Wnt-11 expression raised; the expression of osteoblast-related factors ALP, BGLAP, and Collα1 degraded; and the osteoclast-related factors ACP5, CTSK, and MMP9 expression ascended (all P < 0.05) (Fig. 2a–c).

MiR-410, ALP, BGLAP, and Collα1 decreased and Wnt-11, ACP5, CTSK, and MMP9 increased in ONFH tissues of clinical samples. a Detection of miR-410, Wnt-11, and osteoblast- and osteoclast-related genes by RT-qPCR. b Wnt-11 and osteoblast- and osteoclast-related proteins detected by western blot analysis. c Protein bands of Wnt-11 and osteoblast- and osteoclast-related proteins. d Wnt11 expression (400 ×) and comparison of Wnt11 protein-positive rate detected by immunohistochemical staining. *P < 0.05 vs. the control group
Wnt-11 expression was tested by immunohistochemistry and the results displayed that Wnt-11 protein was mainly expressed in the cytoplasm, and the positive expression was basically brownish yellow or brown. In contrast with the control group, the positive rate of Wnt-11 protein expression in the ONFH group was heightened (P < 0.05) (Fig. 2d).
Upregulated miR-410 and Downregulated Wnt-11 Elevate the BMD and BV/TV of Rats
Micro-CT suggested that in the normal group, the appearance of the femoral head was round, the thickness of the neck was uniform, and the structure of the bone trabeculae was continuous and evenly distributed. The femoral head of the rats in the ONFH group, agomir-NC group, siRNA-NC group and agomir-miR-410 + OE-Wnt-11 group gradually collapsed, the bone resorption area appeared gradually, the neck of the femurs became thinner, and the bone trabeculae were broken and continuity destroyed. In the agomir-miR-410 group, Wnt-11-siRNA group, and agomir-miR-410 + OE-NC group, the appearance of the rats remained intact, no collapse occurred, no obvious bone resorption area appeared, the bone trabeculae were arranged normally, and the structure was complete (Fig. 3a).

Highly expressed miR-410 and poorly expressed Wnt-11 increase BMD and BV/TV of rats. a Micro-CT results of rats in each group. b Results of BMD analysis. c Results of BV/TV analysis. *P < 0.05 vs. the normal group. +P < 0.05 vs. the agomir-NC group. #P < 0.05 vs. the siRNA-NC group. &P < 0.05 vs. the agomir-miR-410 + OE-NC group
The results of bone metrology reported that in contrast with the normal group, the BMD and BV/TV in the ONFH group were depressed (both P < 0.05). In relation to the agomir-NC group and the siRNA-NC group, the BMD and BV/TV elevated in the agomir-miR-410 group and the Wnt-11-siRNA group (all P < 0.05). By comparison with the agomir-miR-410 + OE-NC group, the BMD and BV/TV in the agomir-miR-410 + OE-Wnt-11 group was dropped (both P < 0.05) (Fig. 3b, c).
Overexpression of miR-410 and Poor Expression of Wnt-11 Heighten BMD Levels of the Femoral Shaft, Femoral Head, and Spinal Column, and also the Raise Serum Calcium and Phosphorus Levels of Rats
X-ray observed that the appearance of the femoral head in the normal group was round, the femoral head density was uniform, and the structure was complete. In the ONFH group, agomir-NC group, siRNA-NC group, and agomir-miR-410 + OE-Wnt11 group, the appearance of the femoral head of rats became thinner and the bone resorption area appeared. The appearance was even and the thickness of the femoral head of the rats was complete in the agomir-miR-410 group, Wnt11-siRNA group, and agomir-miR-410 group + OE-NC group (Fig. 4a).

Upregulated miR-410 and downregulated Wnt-11 increase the bone mineral density level of the femoral shaft, femoral head, and spinal column, and also raise the serum calcium and phosphorus levels of rats. a Animal X-ray observation results. b Comparison of the bone mineral density of the femoral shaft, femoral head, and spine in each group. c Comparison of the serum calcium and phosphorus levels in each group. *P < 0.05 vs. the normal group. +P < 0.05 vs. the agomir-NC group. #P < 0.05 vs. the siRNA-NC group. &P < 0.05 vs. the agomir-miR-410 + OE-NC group
BMD and serum calcium and phosphorus level determination reported that compared to the normal group, the BMD of the femoral shaft, femoral head, and spine, as well as the serum calcium and phosphorus levels, fell in the ONFH group (all P < 0.05). In contrast with the agomir-NC group and siRNA-NC group, the BMD of the femoral shaft, femoral head, and spine, as well as serum calcium and phosphorus levels, ascended in the agomir-miR-410 group and Wnt-11-siRNA group (all P < 0.05). In relation to the agomir-miR-410 + OE-NC group, the BMD of the femoral shaft, femoral head, and spine, as well as the serum calcium and phosphorus levels in the agomir-miR-410 + OE-Wnt-11 group, was abated (all P < 0.05) (Fig. 4b, c).
Silencing Wnt-11 and Upregulating miR-410 Alleviate the Pathological Changes of Rat Tissues and Restrain Apoptosis of Osteocytes
The results of HE staining showed that the bone trabeculae were neat and clear and arranged regularly and tightly. Bone cells filled the bone lacunae, and the calcified zone was well connected to the subcartilage bone trabeculae in the normal group. In the ONFH group, agomir-NC group, siRNA-NC group, and agomir-miR-410 + OE-Wnt-11 group, the bone trabecula was sparse; thinned, and even broken; the structure was disordered; and some fragments appeared. Some osteocytes in the bone lacuna were necrotic and a large number of bone lacuna was in emptiness that no bone cells filled in, and obvious proliferation of granulation tissue was observed in the necrosis bone trabecular space, which was wrapped around the necrotic bone trabeculae. In the agomir-miR-410 group, the Wnt-11-siRNA group, and the agomir-miR-410 + OE-NC group, the appearance of the rats remained intact, no obvious bone resorption area appeared and the bone trabeculae were arranged normally and the structure was complete (Fig. 5a).

Poor expression of Wnt-11 and overexpression of miR-410 alleviate pathological changes of rats tissues and restrain apoptosis of osteocytes. a Morphological observation of the femoral head of rats in each group (200 ×). b Ultrastructural observation of bone cells in rats of each group (8000 ×). c The results of TUNEL staining (200 ×). d Detection of apoptosis rate by TUNEL assay. e Detection of the Bax and Bcl-2 mRNA expression by RT-qPCR. f, g Detection of the Bax and Bcl-2 protein expression by western blot analysis. *P < 0.05 vs. the normal group. +P < 0.05 vs. the agomir-NC group. #P < 0.05 vs. the siRNA-NC group. &P < 0.05 vs. the agomir-miR-410 + OE-NC group
Electron microscopic observation observed that the shape of the bone cells in the normal group was consistent with the lacunae, and there was a small gap between the cell and the lacunae wall. The organelles were abundant, the cells in the lacunae were normal, the nucleus was egg-shaped, the nuclear membrane was intact, the chromatin did not agglutinate, and the cytoplasmic pseudo-foot stretched to the peripheral bone small tube and was connected with the adjacent bone cells. Osteoblasts were located on the surface of the bone trabecula, the sample was long, and there were many organelles. In the ONFH group, agomir-NC group, siRNA-NC group, and agomir-miR-410 + OE-Wnt-11 group, a large number of lipid deposits were found in the cytoplasm of osteoblasts, the gap between capsule and lacunae well was further widened, edema bright bands appeared between the nuclear membrane and cytoplasm, nuclear margination showed with compression, nuclear membrane was intact, mitochondria in cytoplasm was swollen, and the endoplasmic reticulum and Gore apparatus disappeared. In the agomir-miR-410 group, Wnt-11-siRNA group, and agomir-miR-410 + OE-NC group, the morphology of rat osteoblasts was normal, chromatin aggregation was found in the nucleus of a small number of cells, no obvious lipid droplets were found in the cytoplasm, and the nuclear membrane was intact (Fig. 5b).
The results of TUNEL staining demonstrated that compared to the normal group, the apoptosis rate of osteocytes in the ONFH group was raised (P < 0.05). In contrast with the agomir-NC group and the siRNA-NC group, the apoptosis rate of osteocytes abated in the agomir-miR-410 group and the Wnt-11-siRNA group (both P < 0.05). In relation to the agomir-miR-410 + OE-NC group, the apoptosis rate of osteocytes enhanced in the agomir-miR-410 + OE-Wnt-11 group (P < 0.05) (Fig. 5c, d).
Western blot analysis and RT-qPCR reported that the Bcl-2 expression reduced and Bax expression raised in the ONFH group compared to the normal group (both P < 0.05). By comparison with the agomir-NC group and the siRNA-NC group, Bcl-2 expression ascended and Bax expression descended in the agomir-miR-410 group and the Wnt-11-siRNA group (all P < 0.05). In contrast with the agomir-miR-410 + OE-NC group, the Bcl-2 expression declined and Bax expression appended in the agomir-miR-410 + OE-Wnt-11 group (both P < 0.05) (Fig. 5e–g).
Overexpression of miR-410 and Low Expression of Wnt-11 Increase the Number of Osteoblasts and Decrease the Number of Osteoclasts
TRAP staining revealed that in the normal group, the morphology of osteoclasts with positive TRAP staining was different, most of them were shuttle or fusiform, few large osteoclasts were polygons, and most of them were distributed around the bone cerebellum. In the ONFH group, agomir-NC group, siRNA-NC group, and agomir-miR-410 + OE-Wnt-11 group, TRAP-positive cells were ascended, the morphology of cells was diverse in large polygons and polykaryotes, bone resorption was found in the bone trabeculae adjacent to osteoclasts, and typical resorption lacunae were formed. In the agomir-miR-410 group, Wnt-11-siRNA group, and agomir-miR-410 + OE-NC group, the number of cells positive for TRAP staining was reduced, the cells were in a long strip shape and the morphology was more regular, the polygonous polynuclear osteoclasts were rare, and the bone structure of adjacent bone trabeculae was relatively complete (Fig. 6a).

Overexpression of miR-410 and low expression of Wnt-11 increase the number of osteoblasts and decrease the number of osteoclasts. a Results of TRAP staining in osteoclasts of rats (200 ×). b Count of positive cells in TRAP staining. c Results of ALP staining in osteoblasts of rats in each group (200 ×). d Count of positive cells determined by ALP staining. *P < 0.05 vs. the normal group. +P < 0.05 vs. the agomir-NC group. #P < 0.05 vs. the siRNA-NC group. &P < 0.05 vs. the agomir-miR-410 + OE-NC group
ALP staining presented that in the normal group, in osteoblasts, which were positive for ALP staining, the morphology was small and round. The cells were distributed in aggregation, most of which were located in the bone trabecular space of bone marrow cavity and on the surface of some bone trabeculae. In the ONFH group, agomir-NC group, siRNA-NC group, and agomir-miR-410 + OE-Wnt-11 group, the number of osteoblasts positive for ALP staining was dispersedly distributed in the trabecular space of the bone marrow cavity. In the agomir-miR-410 group, Wnt-11-siRNA group, and agomir-miR-410 + OE-NC group, the number of osteoblast-positive cells enhanced, and they were distributed in the trabecular space of the bone marrow cavity and the surface of the part of the bone trabecular (Fig. 6c).
By comparison with the normal group, the number of osteoblasts per unit area was suppressed and the number of osteoclasts was heightened in the ONFH group (both P < 0.05). In relation to the agomir-NC group and the siRNA-NC group, the number of osteoblasts per unit area was heightened and the number of osteoclasts was declined in the agomir-miR-410 group and Wnt-11-siRNA group (all P < 0.05). In contrast to the agomir-miR-410 + OE-NC group, the number of osteoblasts per unit area was declined and the number of osteoclasts was raised in the agomir-miR-410 + OE-Wnt-11 group (both P < 0.05) (Fig. 6b, d).
Highly Expressed miR-410 and Lowly Expressed Wnt-11 Elevate the Expression of Osteocalcin (OCN), ALP, BGLAP, and Collα1, as well as Abate C- and N-terminal Telopeptides of Type I collagen (NTX-1, CTX-1), ACP5, CTSK, and MMP9 expression in ONFH Rats
The results of ELISA revealed that in relation to the normal group, the level of osteogenic function index ALP and OCN degraded while the levels of osteoclast function index NTX-1 and CTX-1 heightened in the ONFH group (all P < 0.05). In contrast with the agomir-NC group and the siRNA-NC group, ALP and OCN ascended and NTX-1 and CTX-1 descended in the agomir-miR-410 group and the Wnt-11-siRNA group (all P < 0.05). By comparison with the agomir-miR-410 + OE-NC group, ALP and OCN dropped and NTX-1 and CTX-1 appended in the agomir-miR-410 + OE-Wnt-11 group (all P < 0.05) (Fig. 7a).

Highly expressed miR-410 and lowly expressed Wnt-11 elevate the expression of OCN, ALP, BGLAP, and Collα1 as well as abate NTX-1, CTX-1, ACP5, CTSK, and MMP9 expression in ONFH rats. a Detection of osteogenesis and osteoclast function indices in the serum of rats in each group by ELISA. b Detection of osteoblast- and osteoclast-related genes by RT-qPCR. c, d Detection of osteoblast- and osteoclast-related genes protein expression by western blot analysis. *P < 0.05 vs. the normal group. +P < 0.05 vs. the agomir-NC group. #P < 0.05 vs. the siRNA-NC group. &P < 0.05 vs. the agomir-miR-410 + OE-NC group
The results of western blot analysis and RT-qPCR revealed that in relation to the normal group, the expression of osteoblast-related factors ALP, BGLAP, and Collα1 degraded, and osteoclast-related factors ACP5, CTSK, and MMP9 expression ascended (all P < 0.05). In contrast with the agomir-NC group and the siRNA-NC group, the expression of ALP, BGLAP, and Collα1 elevated, and ACP5, CTSK, and MMP9 expression abated in the agomir-miR-410 group and the Wnt-11-siRNA group (all P < 0.05). By comparison with the agomir-miR-410 + OE-NC group, the expression of ALP, BGLAP, and Collα1 depressed, and ACP5, CTSK, and MMP9 expression heightened in the agomir-miR-410 + OE-Wnt-11 group (all P < 0.05) (Fig. 7b–d).
Elevated Wnt-11 and Decreased miR-410 are Found in ONFH Tissues of Rats as well as Wnt-11 is the Target Gene of miR-410
The targeting relationship between miR-410 and Wnt-11 gene was analyzed by an online analysis software. It was displayed that a specific binding region existed between Wnt-11 gene sequence and miR-410 sequence, implying that Wnt-11 was the target gene of miR-410 (Fig. 8a). Luciferase activity assay was utilized to verify this relationship (Fig. 8b). The results presented that compared to the NC group, the luciferase activity depressed in the miR-410 mimics group (P < 0.05), but there was no significant difference in the luciferase activity of MUT 3′UTR (P > 0.05), indicating that miR-410 could specifically bind to Wnt-11.

Increased Wnt-11 and decreased miR-410 are found in ONFH tissues as well as Wnt-11 is the target gene of miR-410. a Prediction of binding sites of miR-410 on Wnt-11 3′UTR. b Luciferase activity detection for verifying the relationship between miR-410 and Wnt-11. c Detection of miR-410 and Wnt-11 expression by RT-qPCR. d, e Wnt-11 protein expression determined by western blot analysis. f Expression of Wnt-11 in femoral head of rats in each group detected by immunohistochemistry (200 ×). g Comparison of the positive rate of Wnt-11 protein expression in each group. *P < 0.05 vs. the normal group. +P < 0.05 vs. the agomir-NC group. #P < 0.05 vs. the siRNA-NC group. &P < 0.05 vs. the agomir-miR-410 + OE-NC group
The results of western blot analysis and RT-qPCR revealed that in relation to the normal group, miR-410 expression declined and Wnt-11 expression raised in the ONFH group (both P < 0.05). By comparison with the agomir-NC group, miR-410 raised and Wnt-11 reduced in the agomir-miR-410 group (both P < 0.05). In contrast with the siRNA-NC group, Wnt-11 declined in the Wnt-11-siRNA group (P < 0.05). Wnt-11 enhanced in the agomir-miR-410 + OE-Wnt-11 group relative to that in the agomir-miR-410 + OE-NC group (P < 0.05) (Fig. 8c–e).
>Wnt-11 expression was verified by immunohistochemistry. Wnt-11 protein was mainly expressed in the cytoplasm, and the positive expression was mainly brownish yellow or brown. Compared to the normal group, the positive rate of Wnt-11 protein expression in the ONFH group was raised (P < 0.05). By comparison with the agomir-NC group and the siRNA-NC group, the positive rate of the Wnt-11 protein expression descended in the agomir-miR-410 group and Wnt-11-siRNA group (both P < 0.05). In relation to the agomir-miR-410 + OE-NC group, the positive rate of Wnt-11 protein expression enhanced in the agomir-miR-410 + OE-Wnt-11 group (P < 0.05) (Fig. 8f, g).
Discussion
ONFH, a kind of bone destruction disease, is caused by blood supply failure and coagulation and fibrinolysis system disorder and finally causes the femoral head to collapse [19]. A previous study has discussed miRNA expression in bone marrow mesenchymal stem cells induced by hormone in mice with ONFH [20]. Also, a recent study has provided a proof that the expression profile of miRNA of bone marrow-derived mesenchymal stem cells in osteogenesis related to steroid-induced ONFH [21]. Furthermore, it was revealed the Li-nHA/GM/rhEPO stents can elevate both Wnt and HIF-1/VEGF pathways and promote osteogenesis and angiogenesis, which is beneficial to the repair of ONFH induced by glucocorticoids [22]. Based on these facts, the study aimed to explore the effects of miR-410 in the prevention of ONFH by targeting Wnt-11.
Our study has provided substantial evidence in relation to the notion that miR-410, ALP, BGLAP, and Collα1 degraded and Wnt-11, ACP5, CTSK, and MMP9 enhanced in ONFH tissues. A recent study has promoted that the expression of miR-410 in osteosarcoma is declined, and the anti-tumor effect is shown [23]. Another study has presented miR-410 expression was reduced in human estrogen receptor-positive tissues of breast cancer [24]. It is reported that secreted factor Wnt-11 expression is ascended in several types of cancer, containing colorectal cancer, where it advances the migration and invasion of cancer cells [25]. Similarly, a previous study has proved that Wnt-11 expression is heightened in hormone-independent prostate cancer [26]. ALP is a useful index for the state diagnosis and clinical prognosis of the disease [27]. OCN (bone gamma-carboxyglutamate protein; BGLAP) is a widely conserved molecule related to mineralization of bone matrix [28]. ACP5 is necessary for osteoclast differentiation and bone resorption, and it promotes cell movement by regulating adhesion kinase phosphorylation [29]. CTSK is a critical protease in charge of osteopontin, degrading type I collagen and other bone matrix proteins [30]. MMPs can degrade and modify most of the components of extracellular matrix and basement membrane and push forward an immense influence on cancer invasion and metastasis [31]. Also, our study revealed that Wnt-11 is the target gene of miR-410. Similarly, Zhang et al. found that miR-410 targeted the inferred binding site in the Wnt3a 3′-UTR to modulate the Wnt signaling pathway [32].
In addition, it was revealed that upregulated miR-410 and downregulated Wnt-11 increased BMD and BV/TV of ONFH rats. It has been suggested previously that a decrease of spinal BMD and an increase of urinary DPD/Cr ratio in non-traumatic ONFH patients [33]. Another study has verified that BMD of the femoral head and lumbar vertebrae in the ONFH group were degraded relative to that in the control group [34]. Additionally, imaging analysis revealed muscone can restore BMD and BV/TV ratio of the necrotic femoral head, while histologic examination further confirmed the protective effect of muscone on alcohol-induced ONFH [35]. A result emerged from our data that highly expressed miR-410 and lowly expressed Wnt-11 restrained apoptosis of osteocytes. A study has demonstrated that silencing miR-410 can induce cell proliferation and reduce the apoptosis of human umbilical vein endothelial cells induced by oxidized low-density lipoprotein [36]. It is reported that the descended miR-410 expression and ascended SOCS3 expression could reduce the expression of anti-apoptosis factor Bcl-2 and promoted the apoptosis of cells [37]. In addition, in androgen deficient LNCaP cells, the downregulation of Wnt-11 can prevent neuroendocrine-like differentiation and lead to apoptosis of prostate cancer cells [26]. The study also showed that the downregulation of Wnt-11 and upregulation of miR-410 enhanced ALP, BGLAP, and Collα1 expression and reduced ACP5, CTSK, and MMP9 expression. A study has indicated that Wnt-11 expression heightened in cervical cancer cells may result in activation and phosphorylation of JNK-1 by activating Wnt/Jnk pathway and boosts the proliferation and migration/invasion of tumor cells [15]. It has been suggested that Wnt-11 gene silencing in colorectal cancer cell lines reduced the invasive ability of cells [25]. Furthermore, the overexpression of miR-410 can restrain the invasion, migration, proliferation, and epithelial mesenchymal transformation of osteosarcoma cells via directly targeting TRIM44 [23]. Furthermore, a previous study stated that upregulated miR-410 inhibited the growth of cholangiocarcinoma in a xenograft mouse model by inducing apoptosis [38].
Conclusion
In summary, our investigation revealed that miR-410 was lowly expressed and Wnt-11 was highly expressed in ONFH, and upregulating miR-410 or downregulating Wnt-11 increased osteoblasts and reduced osteoclasts to alleviate ONFH. However, clinical researches might be further carried out to detect the efficacy of miR-410 and Wnt-11 for the treatment of ONFH.
Availability of data and materials
Not applicable
Change history
Abbreviations
- ALP:
-
Alkaline phosphatase
- ANOVA:
-
Analysis of variance
- BMD:
-
Bone mineral density
- EDTA:
-
Ethylene diamine tetraacetic acid
- ELISA:
-
Enzyme-linked immunosorbent assay
- GAPDH:
-
Glyceraldehyde phosphate dehydrogenase
- GE:
-
General Electric
- HE:
-
Hematoxylin-eosin
- LSD-t:
-
Least significant difference t test
- miR-410:
-
MicroRNA-410
- miRNAs:
-
MicroRNAs
- NC:
-
Negative control
- OD:
-
Optical density
- ONFH:
-
Osteonecrosis of femoral head
- PBS:
-
Phosphate-buffered saline
- ROI:
-
Regions of interest
- RT-qPCR:
-
Reverse transcription quantitative polymerase chain reaction
- SD:
-
Sprague-Dawley
- SDS:
-
Sodium dodecyl sulfate
- THR:
-
Total hip replacement
- TRAP:
-
Tartrate resistant acid phosphatase
- TUNEL:
-
TdT-mediated dUTP-biotin nick end-labeling
Nanomaterials
- Comprehensive Atomic & Electronic Analysis of Stacked-Cup Carbon Nanofibers
- First‑Principles Investigation of the Structural Stability and STM Imaging of Borophene on Ag(111)
- Structural, Electronic, and Magnetic Characterization of Ag<sub>n</sub>V (n = 1–12) Clusters via DFT and CALYPSO Search
- Synthesis and Characterization of Monodisperse ZnO Nano‑Clips via a Simple Polyol Process
- Impact of Morphology and Crystal Structure on Titania Nanotube Thermal Conductivity
- How Substrate Properties Influence LSP Coupling Wavelengths and Intensities in Nanoparticle Systems
- Nanomaterials and Nanotechnologies in Wastewater Treatment: Insights from a Bibliometric Analysis (1997‑2016)
- Efficient Oxidation and Nano‑Dispersion of Bombyx mori and Antheraea pernyi Silk Fibers for High‑Performance Membranes
- Reducing Cytotoxicity of Silver Nanoparticle Coatings with Graphene Oxide: Enhanced Antibacterial Performance and Biocompatibility of an Ag–GO Nanocomposite
- Tailoring Electronic and Optical Properties of WSSe Bilayer via Strain Engineering