Restoring miR‑133a‑3p or Reducing PSAT1 Limits Endothelial Damage‑Driven Intracranial Aneurysm by Inhibiting the GSK3β/β‑Catenin Pathway
Abstract
It is unclear about the functional role of microRNA-133a-3p (miR-133a-3p) in intracranial aneurysm (IA). Hence, the aim of the present study was to investigate the regulatory role of miR-133a-3p on the regulation of vascular endothelial injury-induced IA through phosphoserine aminotransferase 1 (PSAT1)/glycogen synthase kinase 3β (GSK3β)/β-catenin signaling pathway. Normal intracranial arteriole tissues and IA tissues were gathered from patients with brain trauma and IA. The expression of miR-133a-3p, PSAT1, GSK3β, and β-catenin in tissues was determined by RT-qPCR and western blot analysis. The endothelial cells (ECs) of the human IA were cultured and treated with miR-133a-3p mimic and si-PSAT1 to determine their functions in endothelial cell migration, apoptosis, and proliferation. The expression of miR-133a-3p, PSAT1, GSK3β, β-catenin, Ki-67, CyclinD1, Bax, and Bcl-2 in ECs were tested by RT-qPCR or western blot analysis. Moreover, IA rat model was established to detect the pathological changes and the expression of miR-133a-3p, PSAT1, GSK3β, β-catenin, VEGF, and MMP-9 in IA tissues in vivo. Expression of miR-133a-3p was related to the number and size of IA. MiR-133a-3p expression was deceased and the PSAT1, GSK3β, and β-catenin expression was raised in IA. Restored miR-133a-3p and depleted PSAT1 alleviated the pathological change; reduced PSAT1, GSK3β, and β-catenin expression in IA; suppressed apoptosis and advanced proliferation and migration of IA ECs, as well as reduced VEGF and MMP-9 expression in IA tissues in vivo. Our study suggests that overexpression of miR-133a-3p or downregulation of PSAT1 restrains endothelial cell damage and advances endothelial cell proliferation via inhibiting the GSK3β/β-catenin pathway in IA. MiR-133a-3p might be a potential candidate marker and therapeutic target for IA.
Presentation of the Hypothesis
In this present study, we could speculate that miR-133a-3p/PSAT1 axis might affect the endothelial cell damage-induced IA through modulation of the GSK3β/β-catenin pathway.
Testing the Hypothesis
For verifying this hypothesis, we collected clinical samples, endothelial cells (ECs) of the human IA, and established IA rat models to elucidate the functions of miR-133a-3p and PSAT1 in IA process.
Implications of the Hypothesis
Our study confirms our hypothesis that overexpression of miR-133a-3p or downregulation of PSAT1 restrain endothelial cell damage and advance endothelial cell proliferation via inhibiting the GSK3β/β-catenin pathway in IA. These findings provide a new insight in a novel target therapy for IA.
Introduction
Intracranial aneurysm (IA) is a kind of cerebrovascular disorder, which is featured by unconventionally bulged artery in the brain as well as subarachnoid hemorrhage (SAH) caused by IA rupture, accompanied with a high fatality and morbidity [1]. As is a destructive disease, the pathogenesis of IA has not been clarified [2]. IA is a rare familial form, but it is generally thought to be the result of acquired vascular injury caused by hypertension, smoking, and other traditional risk factors [3]. Endovascular coiling or microsurgical clipping have been utilized to prevent future rupture of unruptured aneurysm in patients with high risk of rupture [4]. Although significant progress has been made in IA surgical operation, poor post-operative recovery is still presented in IA patients [5]. The tough situation of IA treatment makes it necessary to further explore the mechanism and find a new therapeutic strategy.
MicroRNAs (MiRNAs) are a class of non-coding RNAs which modulate the expression of target genes via inhibiting translation at the post-transcriptional level or mediating mRNA degradation [6]. It has been revealed that miR-133a-3p as a tumor inhibitor in several malignant neoplasias and overexpression of miR-133a-3p can inhibit the growth of colorectal cancer (CRC) cells [7]. A previous study has contended that in the light of blocking autophagy-mediated glutaminolysis, miR-133a-3p further suppresses gastric cancer metastasis and growth [8]. Also, a study has presented that miR-133a-3p is participated in regulating heart development and cardiac hypertrophy [9]. A study has demonstrated that upregulation of miR-195-5p declines angiogenesis and cisplatin resistance in ovarian cancer via suppressing the phosphoserine aminotransferase 1 (PSAT1)-dependent GSK3β/β-catenin signaling pathway [10]. Another study has reported that miR-365 represses cell invasion and growth in esophageal squamous cell carcinoma (ESCC) through modulating PSAT1 [11]. PSAT1 is an enzyme implicated in serine biosynthesis; it is originally purified from the sheep brains and has high levels in many tissues [12]. It has documented that PSAT1 is found to mediate cell cycle progression in breast cancer through modulation of the GSK3β/β-catenin signaling pathway [13]. Liu et al. also points out that PSAT1 exerts function on the development of ESCC and forecasts poor survival; therefore, it may be a promising target for anticancer therapeutics [14]. Given the aforementioned analyses, this study was expected to make contributions to a new approach for the functional role of miR-133a-3p/PSAT1/GSK3β/β-catenin axis in IA.
Materials and Methods
Ethics Statement
The study was approved by the Institutional Review Board of First Teaching Hospital of Tianjin University of Traditional Chinese Medicine. All participants signed a document of informed consent. All animal experiments were tallied with the Guide for the Care and Use of Laboratory Animal by International Committees.
Study Subjects
From January 2016 to March 2018, the cases of SAH caused by IA treated in the neurosurgery of the First Teaching Hospital of Tianjin University of Traditional Chinese Medicine were selected. The pathological samples of 75 cases of IA obtained by microsurgery were gathered and classified as IA group, including 29 males and 46 females aged 31–55 years, with an average age of 44.98 ± 6.79 years. Patients with brain trauma treated in the neurosurgery at the same time in the First Teaching Hospital of Tianjin University of Traditional Chinese Medicine were selected as the control group. Also, 75 cases of normal intracranial arteriole tissues were amassed by traumatic operation or internal decompression, including 43 males and 32 females aged 34–56 years, with an average age of 48.14 ± 8.68 years. Patients were excluded if they had history of hypertension, diabetes, or tumors. There was no marked difference in gender and age between the IA group and the control group (both P > 0.05).
Sample Treatment and Preservation
After surgical resection, some of the samples in two groups were fixed with formaldehyde, dehydrated with gradient alcohol from low to high concentration, and embedded with paraffin. Then, the samples were sliced for hematoxylin-eosin (HE) staining and immunohistochemical staining. Some samples were quickly placed in liquid nitrogen tanks and then transferred to a − 80 °C cryogenic refrigerator for the detection of western blot analysis and reverse transcription quantitative polymerase chain reaction (RT-qPCR). Some samples were fixed with glutaraldehyde for electron microscope observation, and some samples were utilized for isolation of ECs.
Electron Microscope Observation
Samples were fixed with 3% glutaraldehyde, and then re-fixed with 1% osmium tetroxide. Samples were dehydrated with acetone, embedded with Epon812, and sliced into semi-thin sections with the thickness of 3 μm. Lastly, the samples were double-dyed with uranyl acetate and lead citrate and observed by a H-600IV transmission electron microscope (Hitachi, Tokyo, Japan).
HE Staining
The prepared paraffin sections were baked at 60 °C for 30 min. After the above steps were completed, the tissue slices were fixed in xylene, dehydrated with gradient absolute alcohol, and cleaned by phosphate-buffered saline (PBS). The tissue slices were dyed with hematoxylin, treated in ammonia for a few seconds, dyed with eosin for 2 min, dehydrated, and cleared. Then, the tissue slices were dripped with neutral gum and sealed with cover glass. Finally, a microscope (Nikon, Tokyo, Japan) was adopted for observing and recording.
Immunohistochemical Staining
Immunohistochemistry kit was produced by Zymed Laboratories (San Francisco, CA, USA). The paraffin slices were dewaxed and hydrated, and the paraffin slices were immersed in xylene solution for 5 min × 3 times. The slices were placed in 100% absolute alcohol for 3 min × 2 times and then soaked in 95–75% alcohol for 3 min in turn. After dewaxing, the slices were incubated with 3% hydrogen peroxide for 15 min to eliminate the activity of endogenous peroxidase. The slices were dripped with blocking solution and incubated with normal goat serum working solution for 15 min, then probed with primary antibody against matrix metalloprotease (MMP)-9 (5 μg/mL) and vascular endothelial growth factor (VEGF) (1:250, Abcam, Cambridge, MA, USA) (PBS for negative control (NC)) and incubated for 1–2 h. The slices were re-probed with biotinylation secondary antibody working solution for 30–60 min. The slices were added with streptavidin/peroxidase working fluid labeled by horseradish peroxidase, dripped with newly prepared diaminobenzidine (DAB) solution, counterstained, and blocked. The image was acquainted by Nikon SPOT FlexTM imaging system. The area of MMP-9 and VEGF protein expression was gauged by immunohistochemical quantitative analysis software. Five high-power visual fields were randomly detected in the accumulation area of positive cells in each sample, and the average absorbance of each screen was used as the mean value for statistical analysis.
Isolation and Culture of ECs
The ECs were isolated from normal intracranial arteriole tissues and IA tissues and cultured. The tissue was sliced into 3 mm2 fragments and incubated for 25 min in 0.1% collagenase B/0.1% dispase (Roche, Basel, Switzerland). The tissue was detached, triturated for 2 min by a 2-mL pipette, and filtered BY a 100-Ìm strainer (BD Biosciences, NJ, USA) to isolate ECs. Cell suspension was centrifuged and then re-suspended in a culture medium MV2 containing growth factors and 20% fetal bovine serum (PromoCell, Heidelberg, Germany). Next, the cells were seeded on fibronectin (Sigma Aldrich Inc., St. Louis, MO, USA)-coated dishes with a density of 104 cells/cm2 (1 μg/cm2) and grown for 1 day with 5% CO2. The day after seeding, cells were rinsed with PBS to remove unattached cells and placed in a fresh medium. When reaching about 80–100% confluence, cultures were exposed to immunoseparation by Ulex europaeus Agglutinin I (UEA)-coated (Vector Laboratories, Ltd., Peterborough, UK) beads (Dynabeads M-450 Tosylactivated, Oxoid, Hampshire, UK) to obtain pure ECs. ECs bound to the lectin-coated beads were amassed with a magnetic particle concentrator while unbound cells were removed via washing with basal medium twice. UEA-positive cells were re-suspended in culture medium and seeded on fibronectin-coated dishes to ameliorate their adhesion and growth. Cultures became confluent within 4–6 days.
Identification of ECs
The ECs were identified by immunocytochemical staining with a cell surface CD31 antibody and a FVII-factor-related antigen. The cells were cleaned twice with PBS, fixed with 4% paraformaldehyde, incubated with 3% H2O2 for 10–15 min to eliminate endogenous peroxidase activity and then incubated with 0.1% Triton X-100 for 10 min to perforated cells. The cells were dripped with specific primary antibody: Factor VII (1:200), CD31 (1:400, Roche, Basel, Switzerland) and incubated at 4 °C overnight. Then, the cells were dripped with immunoglobulin G (1:50) labeled with horseradish peroxidase secondary antibody. The cells were incubated at 37 °C for 45 min and developed by DAB avoiding light for 4 min. Then, the color development was terminated with the distilled water and the photograph was observed under the microscope. The cells were observed under the fluorescence inverted phase-difference microscope, and the positive cells and the total number of cells were counted randomly from 10 visual fields. The positive staining cell rate = (the number of positive cells/the total number of cells) × 100%. The corresponding NC group was established and the primary antibody was replaced by PBS, and the other steps were performed as above.
Grouping and Transfection of Cells
To study the effects between miR-133a-3p and PSAT1 on ECs of IA, ECs were grouped into control group (normal vascular ECs without any transfection), IA group (IA vascular ECs without any transfection), mimic NC group (transfected with miR-133a-3p mimic NC), miR-133a-3p mimic group (transfected with miR-133a-3p mimic), small interfering RNA (si)-NC group (transfected with si-PSAT1 NC), si-PSAT1 group (transfected with si-PSAT1), and miR-133a-3p mimic + overexpression (oe)-PSAT1 group (transfected with miR-133a-3p mimic and oe-PSAT1). Among them, mimic NC, miR-133a-3p mimic, si-PSAT1, si-NC, and oe-PSAT1 were devised and composed by GenePharma Co., Ltd. (Shanghai, China). Transfection was performed in strict accordance with the instructions of LipofectamineTM 2000 transfection reagent (Thermo Fisher Scientific, MA, USA).
Flow Cytometry
The medium in the culture dish were discarded, and the cells were rinsed twice with PBS. Cells were detached by 0.25% trypsin, centrifuged at 800 rpm for 5 min, and suspended with 1 × binding buffer, and the cell density was adjusted to 1 × 107 cells/mL. The cell suspension (100 μL) was incubated with 5 μL propidium iodide (PI, 20 μg/mL) and annexin V-FITC for 20 min, then mixed with 400 μL 1 × binding buffer. Flow cytometer (BD FACSArial I cell sorter) was utilized to detect cell apoptosis within 1 h. Results was that the left lower quadrant (Q4) on the scatter map showed healthy living cells (FITC−/PI−), the right lower quadrant (Q3) as the early apoptotic cells (FITC+/PI−), and the right upper quadrant (Q2) was the late apoptotic and apoptotic cells (FITC+/PI+); apoptosis rate = early apoptosis percentage (Q3) + late apoptosis percentage (Q2).
3-(4, 5-Dimethylthiazol-2-Yl)-2, 5-Diphenyltetrazolium Bromide (MTT) Assay
The cells were detached with trypsin to prepare cell suspension. Cells were counted under an inverted microscope. The cell concentration was adjusted to 5 × 104 cells/mL. Cells were seeded in a 96-well culture plate. After 48 h, cells were incubated with 20 μL MTT solution for 4 h. MTT in each well was dissolved with 150 μL dimethyl sulfoxide. The optical density (OD) value of ECs was gauged at the wavelength of 570 nm. The proliferation rate of ECs was reckoned in the light of the OD value.
Scratch Test
The cells in each group were seeded in a 24-well plate with 2 × 105 cells/well. Three parallel wells were set in each group. When reached about 90% confluence, the cell growth plane was scratched with a sterilized disposable 1 mL micropipette tip; each well was scratched once and the scratch length and depth of each well were in consistent. After scratching, the floating cells were removed, the culture medium was replaced with fresh one, and the scratch spacing was observed under the microscope after 24 h of culture. The healing area of scratch wound was enumerated by the National Instrument Vision Assistant 8.6 software. The cell migration = wound healing area/initial scratch wound area × 100%.
Experiment Animals and Establishment of IA Rat Models
Eighty-four Sprague-Dawley (SD) rats aged 7 weeks and weighed from 180 to 200 g (Laboratory Animals Center, the Academy of Military Medical Sciences, Beijing, China) were selected. The rats were housed in the animal experimental center. The feeding conditions were controlled at 22–25 °C and 50–60% humidity with natural light. All the rats were fed in standard rat cages with 4 rats per cage. The rats were fed with urban sanitary drinking water and common rat fodder. The cushions were changed every 3 days, and the cage was washed and sterilized. The IA rats were modeled in accordance with the reference [15]. Ruptured aneurysm was identified when the following symptoms occurred in rats [16]: 1, declined eating or drinking activity performed by a weight loss (about 10% weight loss) over 24 h; 2, flexion of the torso and forelimbs upon lifting; 3, walking on one side in a normal posture; 4, leaning to one side at rest, no spontaneous activity. The rats with these symptoms were euthanized 3 months after operation. IA tissues were obtained during operation and perfused with PBS, and the blue dye containing glutamic acid was perfused into the cerebral artery.
Treatment and Intervention of IA Rats
The above 84 rats were randomly separated into 7 groups with 12 rats in each group. The treatment methods were as follows: normal group (no modeling was performed); IA group (stereotactic injected with 100 μL mixture of PBS and Lipofectamine 2000); mimic NC group (stereotactic injection with 100 μL mixture of miR-133a-3p mimic NC and Lipofectamine 2000); miR-133a-3p mimic group (stereotactic injection with 100 μL mixture of miR-133a-3p mimic and Lipofectamine 2000); si-NC group (stereotactic injection with 100 μL mixture of si-PSAT1 NC and Lipofectamine 2000); si-PSAT1 group (stereotactic injection with 100 μL mixture of si-PSAT1 and Lipofectamine 2000); and miR-133a-3p mimic + oe-PSAT1 group (stereotactic injection with 100 μL mixture of miR-133a-3p mimic and oe-PSAT1 and Lipofectamine 2000). All of the above injections were performed once a day, and these rats were raised in a specific pathogen-free (SPF) animal laboratory for 12 weeks. After 12 weeks, rats in each group were anesthetized and the thoracic cavity was opened as described above. From the left ventricle intubating into the aorta, blood was released by cutting the cava. At the same time, 30 mL saline containing heparin sodium (37 °C) was perfused through the duct, and then, 10% polyformaldehyde/0.1 M phosphate buffer (pH 7.4) was slowly injected into the brain through the duct. After perfusion was fixed, the brain was opened. The arterial ring at the base of the skull was separated and removed under the surgical microscope, the changes of aneurysms were observed under the microscope, and the pathological characteristics were surveyed. The mimic NC, miR-133a-3p mimic, si-NC, si-PSAT1, and oe-PSAT1 were compounded by Shanghai Sangon Biotechnology Co., Ltd. (Shanghai, China).
Detection of Hemodynamics
The flow rate of blood at the end of the left common carotid artery of rats was tested before 3 days of operation and 12 weeks after the intervention treatment. The method was as follows: the rats were put into the animal frame of the anesthesia machine for inhalation, and the flow parameters was adjusted. After the rats breathed stably and there was no obvious reaction when the tail of the rats was touched, the rats were fixed on the experimental operation table with rubber band. The hair of the neck of the rat was shaved with an electric shaver. The color Doppler ultrasound detector was turned on, and the blood flow velocity at the end of the left common carotid artery was measured and the data were recorded after the probe was smeared with appropriate coupling agent. After the measurement, the rats were carefully put back into the cage to keep the respiratory tract unobstructed until the rats woke up after anesthesia.
RT-qPCR
The total RNA was abstracted on the basis of RNA simple total RNA extraction kit (TIANGEN Biotechnology Co., Ltd., Beijing, China). The high-quality RNA was confirmed by ultraviolet analysis and formaldehyde denaturation electrophoresis, and RNA was reversely transcripted into complementary DNA by PrimeScript RT reagent Kit. PCR reaction was carried out by SYBR Permix Ex TaqII (Takara, Dalian, Liaoning, China). PCR primers were devised and compounded by Beijing ComWin Biotech Co., Ltd. (Beijing, China) (Table 1). U6 was selected as an internal parameter for miR-133a-3p, PSAT1, GSK3β, β-catenin, Bax, Bcl-2, Ki-67, and CyclinD1 with glyceraldehyde phosphate dehydrogenase (GAPDH) as an internal parameter. The data were measured by 2−ΔΔCt.
Western Blot Analysis
The total proteins were extracted from cells and tissues, and the protein samples were quantified by Bicinchoninic Acid Protein Assay Kit (Beyotime Institute of Biotechnology, Shanghai, China). The samples were mixed with 1/4 volume of 5 × sample buffer and boiled for 5 min. The 10% separation gel and 5% concentrated gel were selected for electrophoresis. The membrane was hatched in 5% skim milk powder for 60 min. The membrane was appended with primary antibody PSAT1 (1:500), GSK3β (1:500), β-catenin (1:5000), Bax (1:1000), Bcl-2 (1:1000), CyclinD1 (1:200), Ki-67 (1:5000), MMP-9 (1 μg/mL), VEGF (1:1000) (all from Abcam, Cambridge, MA, USA). Then, the membrane was hatched with secondary antibody (1:2000) for 60 min. The membrane was immersed into the electrochemiluminescence reaction solution (Beyotime Institute of Biotechnology, Shanghai, China) for 1 min, then covered by food wrap after removing the fluid. The membrane was exposed by X-ray, and the result was observed after developing and fixing. GAPDH (1:10000, Abcam) was used as a loading control, and the protein image was analyzed by the ImageJ2x software.
Dual Luciferase Reporter Gene Assay
The target relationship between miR-133a-3p and PSAT1 and the binding site between miR-133a-3p and PSAT1 3′ untranslated region (3′UTR) were forecasted by a bioinformatics website (https://cm.jefferson.edu/rna22/Precomputed/). The sequence of PSAT1 3′UTR promoter region containing miR-133a-3p binding site was amplified and cloned into pGL3-basic luciferase plasmid (Takara Bio Inc., Otsu, Shiga, Japan) to construct the wild-type (WT) plasmid (PSAT1-WT) of PSAT1 3′UTR, while the mutant (MUT) PSAT1-MUT recombinant plasmid was formulated by mutating the miR-133a-3p binding site on PSAT1-WT with point mutation kit (Takara Bio Inc., Otsu, Shiga, Japan). The vascular ECs in the logarithmic growth phase were seeded into a 96-well plate. When the confluence is reaching about 70%, the PSAT1-WT and PSAT1-MUT plasmids were mixed with mimic NC and miR-133a-3p mimic plasmids by Lipofectamine 2000 and co-transfected into vascular ECs. The cells were gathered and lysed 48 h after transfection, and luciferase activity was verified by a luciferase detection kit (Promega Corporation, Madison, WI, USA).
Statistical Analysis
All data were explicated by SPSS 21.0 software (IBM Corp., Armonk, NY, USA). The enumeration data were indicated by rate or percentage, and the analysis was determined by chi-square test or Fisher’s test. The measurement data subjected to normal distribution were conveyed by mean ± standard deviation. Comparison between two groups were conducted by t test, while comparison among multiple groups were analyzed by one-way analysis of variance (ANOVA) followed by Tukey’s post hoc test. A P value < 0.05 was regarded as significant.
Results
General Data of Patients with IA
As shown in Table 2, the general data of the IA group and the control group was compared. The specific information are listed in Table 2.
Expression of miR-133a-3p Is Related to the Number and Size of IA
By analyzing the relationship between miR-133a-3p expression and the clinicopathological features of IA, it was detailed in Table 3 that in the light of the average relative expression of miR-133a-3p in IA, 75 cases of IA were distributed into two groups: miR-133a-3p high expression group (n = 47) and miR-133a-3p low expression group (n = 28). The relationship between miR-133a-3p and different clinicopathological parameters was statistically analyzed by chi-square test or Fisher’s test. The results showed that miR-133a-3p expression was not related to age, gender, shape and position of aneurysm (all P > 0.05), but associated with number and size of aneurysm (both P < 0.05).
MiR-133a-3p Expression Is Declined and the PSAT1, GSK3β, and β-Catenin Expression Is Raised in IA Tissues
The expression of miR-133a-3p in IA was determined by RT-qPCR, and the results revealed that in relation to the normal intracranial arterioles tissues (the control group), miR-133a-3p expression was reduced in the IA tissues (the IA group) (P < 0.05) (Fig. 1a). RT-qPCR and western blot analysis manifested that PSAT1, GSK3β, and β-catenin expression was raised in the IA tissues relative to that in the normal intracranial arterioles tissues (all P < 0.05) (Fig. 1a–c).

MiR-133a-3p expression is decreased and the PSAT1, GSK3β, and β-catenin expression is increased in IA tissues. a Expression of miR-133a-3p, PSAT1, GSK3β, and β-catenin in the IA group and the normal group. b Protein band of PSAT1, GSK3β, and β-catenin expression. c Protein expression of PSAT1, GSK3β, and β-catenin in the IA group and the normal group by western blot assay. n = 75, *P < 0.05 vs. the control group. Measurement data were depicted as mean ± standard deviation, and comparisons between two groups were conducted by independent sample t test
Pathological Changes of Aneurysm and MMP-9 and VEGF Expression in IA Tissues
By directly observing the normal intracranial arterioles tissue and the IA tissues, it was presented that in the control group, the vessels in the arterial tissues were bright red and no obvious atherosclerotic plaques and lateral thrombus were found in the lumen. The tumor of the aneurysm tissues of the IA group was mostly brown or dark red, and the appearance was scrotiform or fusiformis, and the texture was mostly tough. When the tumor was cut open, it appeared white or dark red atherosclerotic plaques on the tumor wall of some tumor samples, which were flat, round, or oval in shape. In some tumor samples, there was mural thrombus in the tumor cavity, and the texture of the thrombus was soft. The thickness of the tumor wall gradually thinned from the neck of the tumor, some of which had only thin fiber membrane at the top of the tumor, and some of them had even ruptured. The crevasse of ruptured aneurysm was located at or near the top of the tumor.
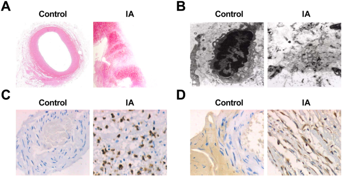
HE staining displayed that under the light microscope, the thickness of the wall of the normal intracranial arteriole tissues was uniform; the anatomical structure of the inner, middle, and outer layers was clear and intact; the morphology of the cells in each layer was normal; the sarcolemma of the adjacent cells often formed closely; and the inflammatory cells of the wall were rare. In the IA group, the local protrusions formed in the distal lateral vascular cavity at the top of the bifurcation of the intracranial artery in the aneurysm wall became obtuse and smaller, and the local ECs were lost. A small number of samples showed a migration from smooth muscle cell layer to the intimal layer and myogenic intimal cell proliferation. ECs decreased or even disappeared. The endothelial cell layer was composed by hyperplastic myointimal cells and linearly arranged ECs, or by apoptotic ECs and blood cells attached to the lumen. Its vacuole degenerated and presented with continuity interruption. Some of them were peeled off together with the basement membrane, and the intimal collagen fibers were increased. The atherosclerosis was changed, and the arteriole wall was obviously thinner and was filled with a large number of connective ladder tissues. Inflammatory cell infiltration and partial diffusion were observed in all layers, mainly in the middle and the outer membranes. Lipid and cholesterol crystal deposits were observed in some cells. Some of the tumor walls were completely or locally thinned and expanded outward (Fig. 2a, b).

Pathological changes of aneurysm and the expression of MMP-9 and VEGF in IA. a Normal intracranial arterioles tissue sections in the control group under HE staining (× 10). b IA tissue sections dyed with HE (× 10). c Ultrastructure of normal intracranial arterioles tissues in the control group under an electron microscope (× 10,000). d Ultrastructure of IA tissues under an electron microscope (× 10,000). e Expression of MMP-9 in the control group and the IA group by immunohistochemical staining (× 200). f Expression of VEGF in the control group and the IA group by immunohistochemical staining (× 200)
The sections of the normal intracranial arterioles tissues and IA tissues were observed by an electron microscope, and it performed that in normal intracranial arterioles tissues, the matrix fibers of the cerebral vascular wall could be seen clearly, and there was no endothelial injury, cell pyknosis, or degeneration. In the IA tissues, obvious endothelial cell injury, cell pyknosis, or vacuole degeneration were observed, the number of middle smooth muscle cells was declined, most of the nucleus pyknosis was appeared, and chromatin aggregation and apoptotic bodies could be seen. Some cells showed swelling of the mitochondria and disappearance of normal internal structure. The extracellular matrix that formed the cytoskeleton was blurred and showed amorphous floc. There were many fragments in the missing parts of the cells (Fig. 2c, d).
Immunohistochemical staining was utilized to test MMP-9 and VEGF expression, and the results revealed that there was no expression of MMP-9 and VEGF in 75 cases of the control group. It existed 60 cases of positive expression of MMP-9 in the 75 cases of IA samples. MMP-9 positive expression appeared in the inner and the outer membranes of IA wall, but the expression was not uniform. The positive expression was mainly characterized by a brownish yellow cytoplasm. The positive expression of VEGF was 66 cases in 75 cases of IA samples. In the wall of IA, there was a high positive expression in the middle and the outer membranes and a low positive expression in the intima. The positive expression was also mainly characterized by a brownish yellow cytoplasm (Fig. 2e, f). The expression of MMP-9 and VEGF in the two groups is shown in Table 4.
Identification of Vascular ECs
The expression of factor VIII and CD31 in ECs were analyzed by immunohistochemical staining. The results reported that vascular ECs reacted positively to factor VIII and CD31-related antigen antibodies, and the positive rate was 95%. In addition, there were a large number of brown particles in the cytoplasm, and the fifth passage of cells of brown staining was dramatically higher than the primary passage of cells (Fig. 3a, b).

Vascular ECs react positively to FVIII and CD31 related antigen antibodies. a Identification of ECs by CD31. b Identification of ECs by FVII
Upregulation of miR-133a-3p and Downregulation of PSAT1 Suppress Apoptosis and Advance Proliferation and Migration of ECs in IA
Flow cytometry, RT-qPCR, and western blot analysis were adopted for observing the apoptosis and Bax and Bcl-2 expression in ECs of IA after treated with miR-133a-3p mimic or si-PSAT1. It was indicated that compared to the control group, the apoptosis rate of cells and Bax expression was elevated in the IA group and the Bcl-2 expression was decreased (all P < 0.05). The cell apoptosis and Bax and Bcl-2 expression in the IA group, mimic NC group, and si-NC group had no significant change (all P > 0.05). By comparison with the si-NC group and mimic NC group, the apoptosis rate of cells in the si-PSAT1 group and miR-133a-3p mimic group was suppressed, the Bax expression was declined, and the Bcl-2 expression was raised (all P < 0.05). Versus the miR-133a-3p mimic group, the apoptosis rate and Bax expression were enhanced, and the Bcl-2 expression was reduced in the miR-133a-3p mimic + oe-PSAT1 group (all P < 0.05) (Fig. 4a–e).

Highly expressed miR-133a-3p and lowly expressed PSAT1 inhibit apoptosis and promote proliferation and migration of IA ECs. a Detection of apoptosis of ECs by flow cytometry. b Detection of apoptosis rate of ECs in each group. c Bax and Bcl-2 expression in ECs detected by RT-qPCR. d Protein band of Bax and Bcl-2 expression. e Bax and Bcl-2 protein expression in ECs detected by western blot analysis. f MTT assay was used to detect proliferation activity of ECs in each group. g RT-qPCR was used to detect the expression of Ki-67 and CyclinD1 in each group of ECs. h Protein band of Ki-67 and CyclinD1 expression. i Ki-67 and CyclinD1 protein expression in ECs detected by western blot analysis. j Detection of the migration of ECs in each group by scratch test. k Statistical results of endothelial cell migration in each group. N = 3, *P < 0.05 vs. the control group. #P < 0.05 vs. the mimic NC group. &P < 0.05 vs. the si-NC group. +P < 0.05 vs. the miR-133a-3p mimic group. Measurement data were depicted as mean ± standard deviation; data were assessed by one-way analysis of variance followed by Tukey’s post hoc test
MTT assay, RT-qPCR, and western blot analysis were utilized to observe the proliferation and the expression of Ki-67 and CyclinD1 in ECs of IA after treated with miR-133a-3p mimic or si-PSAT1. It was displayed that in contrast to the control group, the proliferation activity and Ki-67 and CyclinD1 expression were reduced in the IA group (all P < 0.05). There was no significant difference in the proliferation activity and Ki-67 and CyclinD1 expression of the IA group, mimic NC group, and si-NC group (all P > 0.05). In relation to the si-NC group and the mimic NC group, the proliferation activity and Ki-67 and CyclinD1 expression were heightened in the si-PSAT1 group and the miR-133a-3p mimic group (all P < 0.05). In comparison to the miR-133a-3p mimic group, the proliferation activity and Ki-67 and CyclinD1 expression were reduced in the miR-133a-3p mimic + oe-PSAT1 group (all P < 0.05) (Fig. 4f, i).
The migration of ECs in each group after treatment with miR-133a-3p mimic or si-PSAT1 for 24 h was observed by scratch test. It was revealed that the migration of cells in the IA group was inhibited relative to that in the control group (P < 0.05). There was no markedly change in cell migration of the IA group, the si-NC group, and the mimic NC group (all P > 0.05). Compared to the si-NC group and the mimic NC group, the cell migration in the si-PSAT1 group and the miR-133a-3p mimic group was elevated (both P < 0.05). Versus the miR-133a-3p mimic group, the cell migration was declined in the miR-133a-3p mimic + oe-PSAT1 group (P < 0.05) (Fig. 4j, k).
Restored miR-133a-3p and Depleted PSAT1 Reduce PSAT1, GSK3β, and β-Catenin Expression in ECs of IA
RT-qPCR was used to detect miR-133a-3p expression in ECs of IA; it was yielded that compared to the control group, miR-133a-3p expression in the IA group was reduced (P < 0.05). miR-133a-3p expression in the IA group, mimic NC group, and si-NC group did not change markedly (P > 0.05). MiR-133a-3p expression in the miR-133a-3p mimic group was enhanced relative to that in the mimic NC group (P < 0.05). In contrast with the si-NC group, there was no distinct change in miR-133a-3p expression in the si-PSAT1 group (P > 0.05). Versus the miR-133a-3p mimic group, miR-133a-3p expression was showed no significant difference in the miR-133a-3p mimic + oe-PSAT1 group (P > 0.05) (Fig. 5a).

Upregulation of miR-133a-3p and downregulation of PSAT1 decrease PSAT1, GSK3β, and β-catenin expression in ECs of IA. a miR-133a-3p, PSAT1, GSK3β, and β-catenin expression in ECs detected by RT-qPCR. b Protein bands of PSAT1, GSK3β, and β-catenin. c PSAT1, GSK3β, and β-catenin protein expression in ECs in each group detected by western blot analysis. N = 3, *P < 0.05 vs. the control group. #P < 0.05 vs. the mimic NC group. &P < 0.05 vs. the si-NC group. +P < 0.05 vs. the miR-133a-3p mimic group. Measurement data were depicted as mean ± standard deviation, and data were assessed by one-way analysis of variance followed by Tukey’s post hoc test
The expression of PSAT1, GSK3β, and β-catenin in ECs of IA was tested by western blot analysis and RT-qPCR. It was indicated that in relation to the control group, PSAT1, GSK3β, and β-catenin expression in the IA group was raised (all P < 0.05). PSAT1, GSK3β, and β-catenin expression in the IA group, mimic NC group, and si-NC group did not change dramatically (all P > 0.05). PSAT1, GSK3β, and β-catenin expression in the miR-133a-3p mimic group and si-PSAT1 group was degraded relative to that in the mimic NC group and si-NC group (all P < 0.05). In relation to the miR-133a-3p mimics group, PSAT1, GSK3β, and β-catenin expression was elevated in the miR-133a-3p mimic + oe-PSAT1 group (all P < 0.05) (Fig. 5a–c).
Upregulating miR-133a-3p and Downregulating PSAT1 Alleviate the Pathological Changes of IA Tissues
By testing the hemodynamic changes of rats after modeling, we monitored the blood flow velocity of rats in each group 3 days before operation and 12 weeks after intervention treatment. It was performed that there was no obvious difference in blood flow velocity in each group 3 days before operation (P > 0.05). After 12 weeks of intervention, the blood flow velocity of rats in the IA group depressed relative to that in the normal group (P < 0.05). There was no distinct difference in the degree of decrease of blood flow velocity in the IA group, mimic NC group, si-NC group, and miR-133a-3p mimic + oe-PSAT1 group (all P > 0.05). By comparison with the si-NC group and the mimic NC group, the blood flow velocity was heightened in the miR-133a-3p mimic group and the si-PSAT1 group (both P < 0.05). In contrast to the miR-133a-3p mimic group, the blood flow velocity was declined in the miR-133a-3p mimic + oe-PSAT1 group (P < 0.05) (Fig. 6a).

Upregulated miR-133a-3p and downregulated PSAT1 alleviate the pathological changes of IA tissues. a Hemodynamic changes at each time point after successful modeling in rats. b Changes of IA tissue after transfection. n = 12, *P < 0.05 vs. the normal group. #P < 0.05 vs. the mimic NC group. &P < 0.05 vs. the si-NC group. +P < 0.05 vs. the miR-133a-3p mimic group. Measurement data were depicted as mean ± standard deviation, and data were assessed by one-way analysis of variance followed by Tukey’s post hoc test.
The changes of IA tissues were verified by HE staining. The results displayed that in the normal group, the elastic fibers in the middle layer of intracranial vascular tissue were neat, the normal elastic protein wave-like structure was appeared, and there was no broken and degradation. In relation to the normal group, the lumen of intracranial vascular tissue was enlarged, the normal elastic protein wave-like structure was disappeared, the elastic fiber in the middle layer of local elastic protein vessel was broken, and some of the elastic fibers were completely degraded in the IA group. There was no distinct change in the morphology of IA tissues in the si-NC group, mimic NC group, IA group, and miR-133a-3p mimic + oe-PSAT1 group. In contrast with the si-NC group and the mimic NC group, the wave structure of elastic protein in intracranial vascular tissue of rats in the miR-133a-3p mimic group and the si-PSAT1 group was existed, and the local elastic protein vascular structure was slightly disordered, but there was no fracture and dissolution (Fig. 6b).
Highly Expressed miR-133a-3p and Lowly Expressed PSAT1 Reduce PSAT1, GSK3β, β-Catenin, VEGF, and MMP-9 Expression in IA Tissues in Vivo
The expression of miR-133a-3p in IA tissues in vivo was tested by RT-qPCR, it was suggested that in relation to the normal group, miR-133a-3p expression was declined in the IA group (P < 0.05). miR-133a-3p expression in the IA group, mimic NC group, and si-NC group did not change obviously (all P > 0.05). MiR-133a-3p expression in the miR-133a-3p mimic group was elevated relative to that in the mimic NC group (P < 0.05). By comparison with the si-NC group, there was no marked change in miR-133a-3p expression in the si-PSAT1 group (P > 0.05). Versus the miR-133a-3p mimic group, miR-133a-3p expression showed no significant difference in the miR-133a-3p mimic + oe-PSAT1 group (P > 0.05) (Fig. 7a).

Overexpression of miR-133a-3p and low expression of PSAT1 decrease PSAT1, GSK3β, and β-catenin, VEGF and MMP-9 expression in IA tissues in vivo and PSAT1 is a target gene of miR-133a-3p. a Detection of miR-133a-3p, PSAT1, GSK3β, and β-catenin expression in IA tissues of rats in each group by RT-qPCR. b Protein bands of PSAT1, GSK3β, and β-catenin. c Detection of PSAT1, GSK3β, and β-catenin protein expression in IA tissues of rats in each group by western blot analysis. d Protein bands of VEGF and MMP-9. e Detection of VEGF and MMP-9 protein expression in IA tissues of rats in each group by western blot analysis. f Prediction of the target site of PSAT1 binding to the corresponding miR-133a-3p by Target Scan. g Result of dual luciferase reporter gene assay. a–e, n = 12; f–g, N = 3, *P < 0.05 vs. the normal group/the Wt + NC group. #P < 0.05 vs. the mimic NC group. &P < 0.05 vs. the si-NC group. +P < 0.05 vs. the miR-133a-3p mimic group. Measurement data were depicted as mean ± standard deviation, and data were assessed by one-way analysis of variance followed by Tukey’s post hoc test
The expression of PSAT1, GSK3β, and β-catenin in IA tissues in vivo was tested by western blot analysis and RT-qPCR. It was appeared that in contrast with the normal group, PSAT1, GSK3β, and β-catenin expression in the IA group was increased (all P < 0.05). PSAT1, GSK3β, and β-catenin expression in the IA group, mimic NC group, and si-NC group did not change markedly (all P > 0.05). PSAT1, GSK3β, and β-catenin expression in the miR-133a-3p mimic group and si-PSAT1 group was decreased compared with that in the mimic NC group and si-NC group (all P < 0.05). Versus the miR-133a-3p mimic group, PSAT1, GSK3β, and β-catenin expression was enhanced in the miR-133a-3p mimic + oe-PSAT1 group (all P < 0.05) (Fig. 7a–c).
Western blot analysis was used to verify the VEGF and MMP-9 expression in IA tissues in vivo; the results perceived that by comparison with the normal group, VEGF and MMP-9 expression in the IA group were enhanced (both P < 0.05). VEGF and MMP-9 expression in the IA group, mimic NC group, and si-NC group did not change obviously (all P > 0.05). In relation to the mimic NC group and si-NC group, VEGF and MMP-9 expression in the miR-133a-3p mimic group and si-PSAT1 group were declined (all P < 0.05). Versus the miR-133a-3p mimic group, VEGF and MMP-9 expression were elevated in the miR-133a-3p mimic + oe-PSAT1 group (all P < 0.05) (Fig. 7d, e).
PSAT1 Is a Target Gene of miR-133a-3p
The online prediction software (https://cm.jefferson.edu/rna22/Precomputed/) was utilized to forecast and analyze the target site of PSAT1 binding to the miR-133a-3p, and the sequence of 3′UTR region combined by PSAT1 and miR-133a-3p. In order to prove that the predicted binding site of miR-133a-3p resulted in a change in the luciferase activity, the mutation sequence and the wild sequence of PSAT1 3′UTR deleting miR-133a-3p binding site were devised. Luciferase activity was verified by co-transfection of miR-133a-3p mimic and WT (Wt-miR-133a-3p/PSAT1) or MUT (Mut-miR-133a-3p/PSAT1) recombinant plasmids in vascular ECs. The results revealed that miR-133a-3p mimic had no distinct effect on luciferase activity in the Mut-miR-133a-3p/PSAT1 group (P > 0.05), while the luciferase activity in the Wt-miR-133a-3p/PSAT1 group was markedly declined (P < 0.05) (Fig. 7f, g).
Discussion
IA is an abnormal dilatation of the intracranial artery, which weakens the arterial wall through continuously pushing outwards the vascular wall, which results in a higher risk of aneurysm rupture [17]. In a study conducted by Liu et al., it has shown that some miRNAs are involved in modulating the cell proliferation of vascular smooth muscle cells, which is closely associated with IA [18]. Also, a recent study has provided a proof that circulating miRNAs can be used as a new biomarker to assess the possibility of IA occurred in high-risk individuals [19]. It is customarily considered that PSAT1 may be involved in schizophrenia spectrum conditions and alters serine metabolism [20]. The current study was designed to explore the regulatory role of miR-133a-3p modulated vascular endothelial injury and triggered IA through modulating the PSAT1/GSK3β/β-catenin signaling pathway.
In this present study, the relationship among miR-133a-3p expression and clinicopathological features of IA was analyzed, and the results demonstrated that the expression of miR-133a-3p was not related to age, gender, shape, and position of aneurysm but associated with the number and size of aneurysm. Some scholars considered that the shear stress of regional blood flow in the arterial wall induced the induction of monocyte chemoattractant protein-1 (MCP-1) and macrophage inflammatory protein 1α (MIP-1α) expression by fibroblasts and vascular ECs within the vascular wall. The highly reactive chemotactic factors MCP-1 and MIP-1α made an aggregation of macrophagocyte in the vascular wall and mediated inflammatory response, then, induced the excitation of nuclear transcription factor c-Jun and then regulated the activation of activated protein 1 (AP-1), then activated MMP-9 promoter in its structural domain to raise MMP-9 mRNA expression, and finally induced the dissolution of extracellular matrix of vascular wall, causing the formation of intracranial aneurysm [21,22,23]. Saito et al. [24] found that MMP-9 positive cells were mainly from the middle and the outer membranes of the artery macrophages, which certified that MMP-9 expressed by macrophages mediated the degeneration of the arterial wall, leading to the formation of arterial aneurysm. The above studies have indicated that MMP-9 was linked to the formation of IA. The results of our study revealed that MMP-9 was upregulated in IA; thus, we speculated that mR-133a-3p might be involved in the occurrence and development of IA by regulating the PSAT1/GSK3β/β-catenin pathway and further regulating MMP-9. In our study, we found that restoring miR-133a-3p reduced the expression of PSAT1, GSK3β, β-catenin, and MMP-9 in intracranial aneurysm tissues. We will carry out relevant research in the future study to verify our findings.
Our study has provided substantial evidence in relation to the notion that miR-133a-3p expression was decreased and the PSAT1, GSK3β, and β-catenin was elevated in IA. Emerging evidence has suggested that miR-133a-3p plays a suppressive role in different kinds of tumors. Recent study has presented that miR-133a-3p expression was dramatically degraded in breast cancer tissues in contrast with that in non-cancer tissues [25]. Another study has purported that miR-133a-3p expression is declined in advanced prostate cancer (PCa) tissues relative to that in the adjacent normal tissues or benign prostate lesion tissues, especially in bone metastatic PCa tissues [26]. The promoting effect of PSAT1 in other types of diseases are found in some literatures. It is reported that PSAT1 expression was remarkably heightened in non-small cell lung cancer (NSCLC) and forecasted poor clinical outcome of NSCLC patients [27]. Furthermore, PSAT1 is considered as the highest upregulated gene in CRC tumors as well as highly expressed in chemoresistant disease patients [28]. It has been manifested that GSK3β activity was elevated in cancerous tissues [29]. Moreover, the phosphorylation level of GSK3β as well as the expression of nuclear β-catenin are also enhanced, suggesting that GSK3β/β-catenin pathway may be participated in osteopontin regulation [30].
Other results emerged from our data suggested that upregulation of miR-133a-3p and downregulation of PSAT1 suppressed apoptosis and advanced proliferation and migration of IA ECs, reduced VEGF, and MMP-9 expression in IA tissues. It has been suggested previously that the over-expression of miR-133a-3p retrains the invasion, growth, and mitosis of oral squamous cell carcinoma cells by targeting collagen type I alpha 1 (COL1A1) [31]. It is reported that highly expressed miR-133a-3p can repress the propagation of ESCC cells, advance cell apoptosis, and decline the migration and invasion of ESCC cells by targeting COL1A1 [32]. Another study has verified that transient upregulation of miR-133a-3p suppresses the migration, invasion, and growth abilities of gallbladder carcinoma cells through directly targeting recombination signal-binding protein Jκ [33]. In like manner, this study suggests that miR-133a-3p exerts its role in IA through targeting PSAT1. It is displayed that PSAT1 overexpression boosts ESCC cell growth and matrigel invasion in vitro, and injection of mice with ESCC cells with high expression of PSAT1 induces tumor formation in vivo [14]. Other study also has reported that PSAT1 is highly expressed and forecasts a poor clinical outcome of patients, as well as enhances cell tumorigenesis and proliferation in vivo and in vitro [13]. Prior research generally confirms that PSAT1 advances cell cycle progression, proliferation, and tumorigenesis through loss- and gain-of-function experiments [27]. It has been indicated that MMPs are composed of a series of enzymes which cleaves protein substrates on the basis of a conserved mechanism referring activation of an active site-bound water molecule through a Zn2+ ion [34]. MMP-9 is a distinct protease which push forward an immense influence on many biological processes [35]. A study has contended that MMP-9 is elevated in the aneurysm groups compared to the control group [36]. Vascular endothelial growth factor-A (VEGF-A) is recognized as the key modulator of endovascular differentiation of trophoblast [37]. A study has revealed that silenced PSAT1 expression suppresses VEGF, β-catenin, and GSK3β phosphorylation expression [10].
Conclusion
To briefly conclude, our study confirms our hypothesis that overexpression of miR-133a-3p or downregulation of PSAT1 restrain endothelial cell damage and advance endothelial cell proliferation via inhibiting the GSK3β/β-catenin pathway in IA. These findings provide a new insight in a novel target therapy for IA. These findings underscore the role of miR-133a-3p in IA in relation the PSAT1/GSK3β/β-catenin pathway. However, a conclusion about the effects of miR-133a-3p and PSAT1 cannot be made clearly due to limited known researches on this. It needs to be monitored rigorously and reported appropriately in the future clinical trials.
Availability of Data and Materials
Not applicable
Abbreviations
- miR-133a-3p:
-
MicroRNA-133a-3p
- IA:
-
Intracranial aneurysm
- PSAT1:
-
Phosphoserine aminotransferase 1
- GSK3:
-
β-glycogen synthase kinase 3β
- SAH:
-
Subarachnoid hemorrhage
- MiRNAs:
-
MicroRNAs
- CRC:
-
Colorectal cancer
- ESCC:
-
Esophageal squamous cell carcinoma
- HE:
-
Hematoxylin-eosin
- PBS:
-
Phosphate buffer saline
- MMP:
-
Matrix metalloprotease
- VEGF:
-
Vascular endothelial growth factor
- NC:
-
Negative control
- DAB:
-
Diaminobenzidine
- FBS:
-
Fetal bovine serum
- UEAI:
-
Ulex europaeus agglutinins I
- PI:
-
Propidium iodide
- FITC:
-
V-fluorescein isothiocyanate
- DMSO:
-
Dimethyl sulfoxide
- OD:
-
Optical density
- SD:
-
Sprague-Dawley
- SPF:
-
Specific pathogen-free
- GAPDH:
-
Glyceraldehyde phosphate dehydrogenase
- BCA:
-
Bicinchoninic acid
- 3′UTR:
-
3′ Untranslated region
- WT:
-
Wild type
- MUT:
-
Mutant
- ANOVA:
-
Analysis of variance
- NSCLC:
-
Non-small cell lung cancer
- VEGF-A:
-
Vascular endothelial growth factor-A
Nanomaterials
- Nanoparticle-Delivered Artesunate Enhances Antitumor Efficacy via Mitochondrial Apoptosis Activation
- Crystalline‑Si Solar Cells with a Black‑Silicon Rear Layer: Enhanced Efficiency Through Graded Band‑Gap Engineering
- Regulating Carbon Nanotube Slide‑Roll Motion Through Hydroxyl Functionalization
- Lithocholic Acid–Functionalized Gold Nanoparticles Induce Selective Apoptosis in Liver Cancer Cells
- Goblet Cell–Mediated Clearance of Metal Nanoparticles: An In Vivo Pathway Accelerated by Chinese‑Herb‑Induced Diarrhea
- Reducing Cytotoxicity of Silver Nanoparticle Coatings with Graphene Oxide: Enhanced Antibacterial Performance and Biocompatibility of an Ag–GO Nanocomposite
- MALAT1/miR-143/VEGFA Axis Drives Endothelial Damage Leading to Intracranial Aneurysm
- Exosomal miR‑326 from M1 Macrophages Suppresses Hepatocellular Carcinoma Progression by Modulating NF‑κB Signaling
- Hydroxyapatite Nanoparticles Enhance MSC Osteogenesis via Endothelial Cell Interaction
- MicroRNA‑326‑5p Protects Neurons in Stroke: Suppressing STAT3 Reduces Apoptosis and Mitochondrial Damage